爱尔创全瓷牙作为一种常见的牙科修复材料,近年来在市场上受到了广泛关注。
爱尔创全瓷牙究竟是国产还是进口?它的使用寿命如何?质量又如何呢?本文将从这三个方面进行深度剖析。

一、爱尔创全瓷牙是国产还是进口
爱尔创全瓷牙属于国产品牌。
爱尔创是我国的一家专注于牙科材料研发与生产的企业,其全瓷牙产品在国内市场占有较大份额。
与进口品牌相比,国产全瓷牙在性价比方面表现更为突出,尤其是在成本控制和售后服务上更具优势。
近年来,随着国产牙科材料的不断进步,爱尔创全瓷牙的质量和工艺已逐渐接近国内外水平,成为许多患者和牙医的优选。

二、爱尔创全瓷牙的使用寿命
一般来说,正常使用情况下可以维持10-15年,甚至更久。
具体寿命取决于多种因素,包括患者的日常口腔护理习惯、咬合力大小以及牙医的安装技术等。
如果患者能够保持良好的口腔卫生,定期进行牙科检查,并避免过度咬硬物,爱尔创全瓷牙的寿命完全可以达到理想水平。
与进口全瓷牙相比,爱尔创的耐用性并不逊色,但在某些高端材料和工艺上,进口品牌可能略胜一筹。

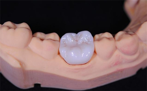
三、爱尔创全瓷牙冠的质量如何呢
从材料角度来看,爱尔创采用的是高品质的氧化锆陶瓷,这种材料具有较高的强度、美观性和生物相容性,能够很不错地模拟天然牙齿的外观和功能。
爱尔创在生产工艺上不断优化,确保了全瓷牙冠的精细度和稳定性。
在实际应用中,爱尔创全瓷牙冠的密合度较高,降低了细菌滋生的可能性,有助于牙齿健康。
与进口高端品牌相比,爱尔创在复杂病例中的表现可能稍有差距,尤其是在个性化定制和美观度方面,仍需进一步提升。

总的来说,爱尔创全瓷牙作为国产牙科材料的代表,凭借其高性价比和可靠的质量,在市场上占据了重要地位。
它的使用寿命和性能已经能够满足大多数患者的需求,但与进口高端品牌相比,仍有一定提升空间。
对于患者而言,选择爱尔创全瓷牙不仅能够获得良好的修复结果,还能节省一定的费用,是一种值得考虑的方案。
· 相关阅读 ·