您的位置:> 首页 > 烤瓷/全瓷牙 > 氟斑牙还能变回正常吗?变白秘籍大公开,看完不再觉得没救

氟斑牙还能变回正常吗?变白秘籍大公开,看完不再觉得没救

非合作机构 机构电话: 作者:朱耷   2025-02-13 15:11:36

氟斑牙是由于牙齿发育期间摄入过量氟化物所导致的一种牙齿表面着色现象。

很多人担心氟斑牙无法改善正常,甚至认为一旦出现氟斑牙就再也无法变白。

那么,氟斑牙真的没救了吗?其实不然,通过科学的方法,氟斑牙是可以得到改善的。

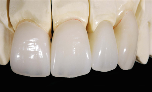
牙齿贴面改善牙齿颜色和形状

1、氟斑牙可以变回正常吗? 

答案是部分的。

氟斑牙的本质是牙齿表面釉质的矿物质沉积异常,因此完全重回到与健康牙齿完全一致的状态是有一定难度的。

但对于轻度氟斑牙,通过正规治疗和日常护理,可以显著改善牙齿的外观,使其接近正常牙齿的颜色。

而对于中重度氟斑牙,虽然无法完全改善,但也能通过治疗手段减轻其外观影响。

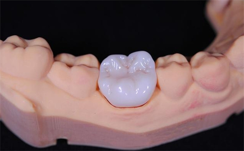
全瓷牙冠

2、氟斑牙怎么才能变白? 

以下是几种常见的改善氟斑牙的方法:

  1. 冷光美白:这是一种较为常见的牙齿美白技术,适用于轻度氟斑牙。通过高强度的冷光照射,配合专用美白剂,可以有效去除牙齿表面的色素沉积,使牙齿变白。

  2. 瓷贴面或烤瓷冠:对于中重度氟斑牙,瓷贴面或烤瓷冠是一种有效的修复方式。通过在牙齿表面粘贴一层薄薄的瓷质材料,可以完全覆盖氟斑牙的着色部分,使牙齿看起来洁白如新。

  3. 微研磨技术:这是一种通过轻微研磨牙齿表面釉质,去除氟斑牙外层着色部分的方法。适用于轻中度氟斑牙,但需要正规医生的操作,以避免损伤牙齿。

  4. 日常护理:保持良好的口腔卫生习惯,定期洗牙,使用含氟量适中的牙膏,避免饮用含氟量过高的水,也有助于减缓氟斑牙的进一步发展。

烤瓷牙

3、氟斑牙是不是没救了? 

答案是否定的。

虽然氟斑牙确实会对牙齿美观造成一定影响,但现代牙科技术的发展为我们提供了多种改善氟斑牙的方法。

无论是轻度、中度还是重度氟斑牙,都可以通过适当的治疗手段获得显著的美观结果。

因此,氟斑牙患者不必过于焦虑,及时询问正规牙医,制定合适的治疗方案,完全可以改善牙齿的健康外观。

还原真牙的全瓷牙

总之,氟斑牙并非不可逆转的牙齿问题,通过科学的治疗和日常护理,完全可以改善其外观,甚至接近正常牙齿的颜色。

关键在于尽早发现并采取有效措施,避免氟斑牙进一步发展。

看完这篇文章,相信你会对氟斑牙的治疗充满信心,不再觉得没救。


· 相关阅读 ·