韩锆全瓷牙冠价格亲民,3280元起一颗,是正规品牌产品,非杂牌。其采用高质量氧化锆材料,具有高强度、耐磨性好、自然美观、生物相容性佳等优势。韩锆全瓷牙冠通过正规认证,广泛应用于临床,深受患者好评。选择韩锆全瓷牙冠,为您的口腔健康与美观提供可靠确保。
在口腔修复领域,全瓷牙冠因其自然美观、生物相容性好等优点,逐渐成为许多患者的优选。其中,韩锆全瓷牙冠以其独特的优势和高性价比,在市场上赢得了良好的口碑。

韩锆全瓷牙冠的价格因地区、医院、医生技术水平等因素而异,但一般来说,其价格相对合理,具有较高的性价比。
据市场了解,韩锆全瓷牙冠的价格大约在3280元起一颗,这个价格相对于一些高端进口品牌来说,更加亲民,同时又能确保良好的修复结果。
当然,具体价格还需根据患者口腔状况、牙冠材料选择以及医院收费标准等因素来确定。

高强度与耐磨性:
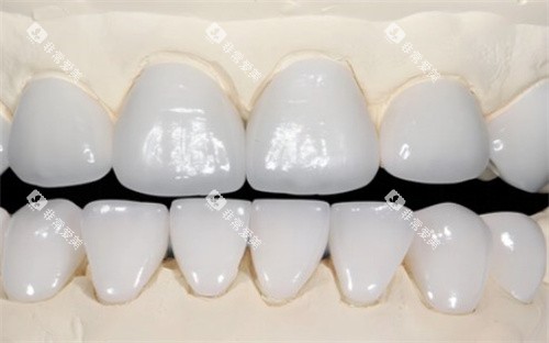
韩锆全瓷牙冠采用高质量的氧化锆材料制成,这种材料具有高强度和优异的耐磨性。
这意味着,韩锆全瓷牙冠在口腔内能够长时间保持稳定的形态和功能,不易磨损或破裂,从而延长了牙冠的使用寿命。
自然美观:
韩锆全瓷牙冠的透明度和白度与天然牙齿非常接近,这使得修复后的牙齿看起来更加自然美观。
无论是前牙还是后牙,韩锆全瓷牙冠都能提供理想的修复结果,满足患者对美观的追求。

良好的生物相容性:
韩锆全瓷牙冠不含金属成分,对牙龈和周围组织无刺激,不会引起过敏反应。
这使得韩锆全瓷牙冠成为许多对金属过敏患者的优选。同时,其良好的生物相容性也有助于减少口腔炎症和感染的风险。
精细的密合度:
韩锆全瓷牙冠采用新型的计算机辅助设计和制造技术,能够确保牙冠与基牙的精细密合。
这种精细的密合度不仅有助于提高修复结果,还能减少食物嵌塞和菌斑积聚的风险,从而维护口腔健康。

易于清洁与维护:
韩锆全瓷牙冠的表面光滑,不易附着菌斑和食物残渣,这使得患者能够更容易地进行口腔清洁和维护。
良好的口腔卫生习惯有助于减少口腔疾病的发生,从而延长牙冠的使用寿命。

韩锆全瓷牙冠作为正规品牌的产品,其质量和结果都得到了市场的广泛认可。以下是一些证明其正规性的理由:
品牌信誉:
韩锆全瓷牙冠品牌在市场上享有良好的信誉和口碑。
许多患者在使用后都对其结果表示满意,并对其质量和性能给予了高度评价。
正规认证:
韩锆全瓷牙冠通过了相关的正规认证和检测,符合我国和行业的标准和要求。
这意味着,其产品质量和可靠性都得到了机构的认可。

售后服务:
韩锆全瓷牙冠品牌提供完善的售后服务体系,包括产品质量确保、维修服务等。
这为患者提供了更多的确保和信心。
广泛的临床应用:
韩锆全瓷牙冠在临床上得到了广泛的应用和验证。
许多口腔医生和患者都对其结果表示满意,并对其质量和性能给予了高度评价。

综上所述,韩锆全瓷牙冠以其合理的价格、独特的优势以及正规的品牌背景,在市场上赢得了广泛的认可和好评。
如果您正在寻找一款性价比高、结果理想的全瓷牙冠产品,那么韩锆全瓷牙冠无疑是一个值得考虑的选择。
· 相关阅读 ·