煜美锆并非传统意义上的全瓷牙套品牌,而是康泰健品牌旗下的主打品牌之一,专注于全锆义齿修复系列产品的研发与生产。全锆冠(如煜美锆)属于全瓷牙的一种特殊形式,由氧化锆等锆系材料制成,具有高强度和耐磨性。
关于煜美锆的价格,因材料、制作工艺及就诊机构等因素而异,具体价格还需考虑地区、医院级别及个人牙齿情况,建议询问当地口腔医院或诊所获取较准报价。

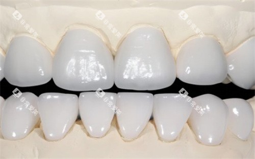
首先,我们需要明确的是,煜美锆是一种全瓷牙套材料。全瓷牙套,顾名思义,是指整个牙套完全由瓷材料制成,不含金属内冠。
这种材料具有良好的透光性、色泽自然、与天然牙相似度高,且不会对牙龈产生刺激,生物相容性好。
煜美锆正是这样一种全瓷牙套材料,它采用新型的陶瓷工艺,经过高温烧结而成,具有极高的硬度和耐磨性,同时保持了瓷材料的优良特性。

美观度高:
煜美锆牙套具有极高的透光性,色泽自然,与天然牙相似度高,能够满足患者对美观的需求。
生物相容性好:
煜美锆牙套不含金属成分,不会对牙龈产生刺激,避免了金属过敏等问题,生物相容性好。
硬度高、耐磨性强:
煜美锆牙套采用新型的陶瓷工艺制成,具有极高的硬度和耐磨性,能够长时间保持牙套的完整性和稳定性。
适用范围广:
煜美锆牙套适用于各种牙齿修复需求,如前牙美学修复、后牙功能修复等。

煜美锆牙套的价格因多种因素而异,以下是一些主要影响因素:
地区差异:
不同地区的物价水平、消费水平不同,煜美锆牙套的价格也会有所差异。一般来说,一线城市的价格会相对较高。
医院级别:
不同级别的医院,其设备、技术、服务等方面存在差异,因此煜美锆牙套的价格也会有所不同。一般来说,大型医院或高端私立口腔诊所的价格会相对较高。

牙套类型:
煜美锆牙套有多种类型,如单颗牙套、多颗牙套、全口牙套等。不同类型的牙套,其价格也会有所差异。一般来说,全口牙套的价格会相对较高。
个人情况:
患者的牙齿情况、修复需求等也会影响煜美锆牙套的价格。例如,牙齿损伤程度严峻、修复难度大的患者,其价格可能会相对较高。
具体来说,煜美锆牙套的价格范围大致在几千元到上万元不等。具体价格还需根据患者的实际情况和所在地区的价格水平来确定。
因此,在选择煜美锆牙套时,建议患者先询问当地口腔医院或诊所的正规医生,了解具体的价格和修复方案。

选择正规医院:
在选择煜美锆牙套时,患者应选择正规、有资质的口腔医院或诊所,确保手术的健康性和结果。
了解医生资质:
患者应了解医生的资质和经验,选择具有丰富经验和娴熟技术的医生进行手术。

与医生充分沟通:
患者应与医生充分沟通,了解修复方案、手术过程、术后护理等方面的信息,确保自己对手术有充分的了解。
注意术后护理:
术后护理对于手术结果至关重要。患者应按照医生的指示进行口腔清洁和护理,避免食物残渣滞留和感染等问题。

综上所述,煜美锆是一种优质的全瓷牙套材料,具有良好的美观性、生物相容性和耐磨性等特点。
然而,在选择煜美锆牙套时,患者需要考虑多种因素,如地区差异、医院级别、牙套类型和个人情况等。
同时,选择正规医院、了解医生资质、与医生充分沟通和注意术后护理也是确保手术结果和可靠性的关键。
· 相关阅读 ·