您的位置:> 首页 > 烤瓷/全瓷牙 > 国产全瓷牙三大品牌解析:爱尔创、爱迪特、美加的性价比之选与修复方案~

国产全瓷牙三大品牌解析:爱尔创、爱迪特、美加的性价比之选与修复方案~

非合作机构 机构电话: 作者:月满西楼   2025-08-04 15:45:30

在牙齿修复领域,国产全瓷牙凭借不断提升的技术实力和亲民价格,逐渐成为大众信赖的选择。爱尔创、爱迪特、美加三大品牌以各自的核心优势,覆盖了从日常修复到美学需求的多样场景。本文将带您深入解析它们的特色、价格及适用人群,助您找到更适合的修复方案。

国产全瓷牙三大品牌的核心优势

爱尔创:以高强度氧化锆材料为核心,主打耐用性与广泛适用性。其产品线覆盖基础款瓷倍健到高端魅影系列,强度可达1100MPa,胜任后牙咀嚼压力。生物相容性设计减少牙龈刺激,边缘密合性技术降低并发症概率,适合注重长期稳定性的用户。

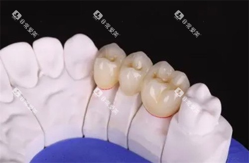
爱尔创-瓷倍健全瓷牙

爱迪特:科研创新是其标签,专注美学与功能的平衡。绚彩系列通过多层渐变仿生牙釉质,实现前牙自然通透的结果;赛瓷系列则以高硬度(1050MPa)确保后牙连桥修复的可靠性。智能化比色技术可匹配16种牙色,满足个性化需求。

美加:超薄设计与自然美学见长。全瓷贴面厚度仅0.2mm,大幅减少原牙磨损,尤其适合年轻群体或氟斑牙修复。900MPa硬度确保日常使用,16色比色板支持精密匹配真牙色泽,修复结果宛若天生。

价格对比:性价比与需求的平衡

• 爱尔创:价格跨度灵活,基础款1200元起(瓷倍健),高端系列2500-3500元(魅影/玉瓷),适合预算有限但需全方面修复的用户。

• 爱迪特:定位中高端,1300-3800元。绚彩前牙系列约2500元起,赛瓷后牙修复1300元起,为美学与强度兼得者优选。

• 美加:主打精细化修复,贴面及单冠1500-3000元。高透光材料与低创工艺溢价明显,适合对美观度要求极高的前牙修复。

注:实际价格受地区、医疗机构及工艺复杂度影响,建议面诊时获取详细报价。

爱尔创全瓷牙牙冠


如何选择?关键场景与用户匹配指南

• 后牙修复:优先考虑强度与耐用性。

• 爱尔创瓷倍健或魅影系列:千元级高硬度氧化锆,承受坚果、骨头等硬物咀嚼压力。

• 爱迪特赛瓷系列:千元价位兼顾强度与密合度,适合多颗连冠修复。

• 前牙美学修复:通透度与自然感是关键。

• 爱迪特绚彩系列:渐变色泽模拟真牙透光层次,解决四环素牙、缺损牙突兀问题。

• 美加超薄贴面:小创口调整牙色与形态,修复氟斑牙、小牙缝时保留更多原生牙体。

• 全口/多颗修复:综合成本与结果。

• 爱尔创基础款:半口重建可控制单颗成本在1500元内,性价比突出。

• 组合方案:前牙用美加贴面(2000元级),后牙用爱尔创(1200元级),平衡预算与美观。

爱尔创全瓷牙

用户高频疑问解答

疑问1:国产全瓷牙寿命是否不如进口?

解析:国产头部品牌技术已趋成熟。爱尔创、爱迪特等采用进口原料(如日本TOSOH粉料),正常使用可达10年以上,定期维护可延长至15年。与进口差异主要在复杂咬合重建的精细度,非强度或寿命。

疑问2:如何避免修复后“假白”或突兀?

解析:关键在于比色技术与材料透光性。选择爱迪特(16色渐变)或美加(高透氧化锆),并在自然光下与医生反复校准比色,可大幅提升仿真度。

疑问3:是否所有人都适合全瓷牙?

解析:重度牙周炎患者需先控制炎症;夜磨牙者建议选硬度≥1100MPa的爱尔创或爱迪特,避免崩瓷;青少年牙髓腔较大者暂不推荐。

选择前的必要准备

口腔评估:拍摄CBCT确认牙根状态,避免修复后基牙折裂。

医生沟通:提供笑容线照片或美学诉求,帮助技师个性化设计内冠形态。

试戴调整:临时牙冠佩戴1-2周,测试咬合与美观度再实际粘接。

国产全瓷牙的进化,是技术与需求共同推动的成果。爱尔创的坚实、爱迪特的精研、美加的细腻,共同构建了从功能到美学的完整版图。选择的核心,在于匹配自身需求与品牌专长——愿您以理性判断为基,以焕然笑容为果,迈出牙齿修复的从容一步。


· 相关阅读 ·