在牙齿修复的道路上,美塑树脂作为一款热门材料,常常被医生推荐。那么它到底有哪些优点,又存在哪些不足呢?别急,今天咱们就来好好唠唠美塑树脂的优缺点,让你在选择修复材料时心里有数。

(一)小创口修复,守护牙齿健康
美塑树脂较让人心动的一点就是它的小创口特性。在进行牙体缺损修复时,它几乎不用备牙,就有着超强的粘接力。要知道,传统的修复方式往往需要磨除较多的牙体组织,这对牙齿本身是一种伤害。而美塑树脂只需要全瓷贴面备牙量的二分之一,大大减少了对牙齿的损伤,完全符合现代口腔医学的小创口理念。就好比给牙齿做了一次“小手术”,既解决了问题,又尽可能地保留了牙齿的原生结构,让牙齿更加健康。
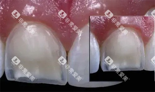
(二)逼真结果,真假难辨
如果你追求牙齿修复后的美观结果,那美塑树脂肯定不会让你失望。它采用了分层固化的技术,这使得它能够拥有所有人类牙齿对于光线的反射及折射特性。修复后的牙齿,肉眼几乎无法察觉与真牙的区别,真假难辨。尤其是对于前牙的美学修复,美塑树脂简直是“神器”。无论是牙齿的形态还是色泽,都能满意还原,让你拥有自信灿烂的笑容。想象一下,当你露出洁白整齐的牙齿,别人根本看不出你曾经有过牙齿问题,这是多么酷的一件事。

(三)即刻修复,节省时间成本
在现代快节奏的生活中,时间就是钞票。美塑树脂的即刻修复特性,为我们节省了大量的时间。几乎所有的龋齿充填项目以及小部分牙体缺损,都可以随治随走。即使是贴面及嵌体等口外制作,也要要一到两天的时间。这相比一些传统修复方式需要长时间等待材料制作和多次复诊,简直太方便了。比如你突然发现牙齿有个小洞,想去修复一下,用美塑树脂当天就能搞定,不影响你正常的工作和生活,简直不要太爽。
(四)高强度,耐用性有支持
牙齿修复后,我们都希望它能持久耐用。美塑树脂在这方面表现出色,它的无机物填料比例达到了百分之八十,表面处理部分含有高折射率的纳米氧化锆,重量比为百分之十二,内还有高折射率的新型玻璃填料,重量比为百分之六十八。这样的成分组合,让它拥有了较高强度。它的维氏硬度达到了七百兆帕,而铸瓷全冠的维氏硬度是二百四十到五百五十兆帕,二氧化锆全瓷冠强度是九百到一千一百兆帕,高强度树脂如三M纳米树脂z350XT,其强度为三百兆帕左右。由此可见,美塑树脂的强度在众多修复材料中处于较高质量,能够经受住日常咀嚼的考验,让你的修复结果更加持久。

(一)价格昂贵,钱包有点“受伤”
美塑树脂虽然优点众多,但它的价格却让不少人望而却步。作为国内外头部口腔美学材料,它的材料成本为同等重量黄金价格的两倍,非常昂贵。所以,它通常只为国内外高端美学口腔门诊及人群服务。对于一些预算有限的朋友来说,选择美塑树脂进行牙齿修复可能会给钱包带来一定的压力。不过,贵也有贵的道理,毕竟它在性能和结果上确实有着出色的表现。
(二)对医生技术要求高
美塑树脂的修复结果较大程度上取决于医生的技术水平。由于它的特性,在进行修复时,医生需要更准一些地控制光照过程中的树脂材料收缩性能,才能将牙齿的点隙窝沟满意地表达出来,达到仿真度百分百的结果。

如果医生的技术不够娴熟,可能会出现修复不满意、与真牙衔接不自然等问题。所以,在选择使用美塑树脂进行修复时,一定要找一位经验充足、技术娴熟的医生。
美塑树脂在牙齿修复方面有着诸多优点,小创口、逼真、即刻修复和高强度等特点让它成为了不少人的首要选择。但同时,它价格昂贵和对医生技术要求高的缺点也需要我们考虑清楚。在决定是否选择美塑树脂进行牙齿修复时,我们要根据自己的经济情况和牙齿问题的重的程度,综合考虑,做出较适合自己的选择。
· 相关阅读 ·