
王府井口腔医院在朝阳大悦城开设的分院,为周边居民提供了便捷的口腔医疗服务。这家分院延续了王府井口腔的一贯风格,环境整洁明亮,医护人员态度温和。作为一家老牌口腔机构的分院,这里设备齐全,能够满足大多数口腔治疗需求。
朝阳大悦城店的位置十分便利,周边交通发达,对于在附近工作或居住的人来说,是个不错的选择。医院内部布局合理,候诊区舒适,减少了患者等待时的焦虑感。

基础治疗是口腔医院较常见的服务项目,这里提供常规检查、洗牙、补牙等基础治疗服务。
洗牙价格在200-400元之间,根据牙齿情况有所不同。普通超声波洁治约200元,如果牙齿色素沉积较多,可能需要300-400元的喷砂洁治。
补牙材料分为几种:玻璃材料材料约150-200元/颗,复合树脂材料300-400元/颗。后牙因为承受咀嚼力大,通常建议使用更耐磨的材料,价格会稍高一些。
根管治疗根据牙齿位置收费不同:前牙约800-1000元,前磨牙1000-1200元,后磨牙1200-1500元。复杂病例可能需要多次就诊,费用会相应增加。
拔牙价格:普通松动牙拔除100-200元,复杂阻生牙拔除500-800元,完全骨埋伏阻生牙可能需要1000元以上。

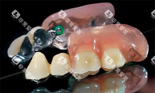
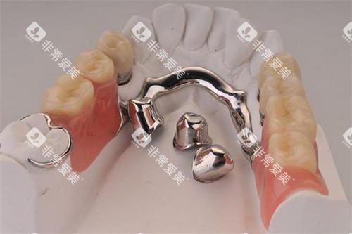
牙齿缺损或缺失后,修复方式有多种选择。
活动义齿价格相对亲民:胶托活动义齿800-1500元,钢托活动义齿1500-2500元。活动义齿适合多颗牙缺失的情况,但舒适度可能不如固定修复。
固定桥修复:金属烤瓷桥每颗约1500-2500元,全瓷桥每颗2500-4000元。需要磨小两侧健康牙作为支撑,适合缺失1-2颗牙的情况。
嵌体修复:金属嵌体800-1200元/颗,瓷嵌体1500-2500元/颗。适用于较大面积缺损但牙根完好的情况,比普通补牙更耐用。
全瓷冠:2000-4000元/颗,美观度高,适合前牙修复。不同品牌的全瓷材料价格差异较大,可以根据个人需求选择。

种植牙是目前修复缺失牙的较好方式,价格相对较高但使用寿命长。
韩国品牌种植体:8000-12000元/颗,适合预算有限的患者。这些种植体临床应用时间长,稳定性不错。
欧美品牌种植体:12000-18000元/颗,骨结合能力好,适合骨质条件一般的患者。不同品牌之间有些许差异,医生会根据口腔情况推荐。
种植手术费用包含种植体、基台和牙冠。有些机构会分开收费,需要提前确认价格包含哪些项目。骨量不足的患者可能需要额外支付骨粉和骨膜费用,约2000-4000元。

牙齿排列不齐不仅影响美观,还可能引发口腔健康问题。
金属托槽矫正:15000-25000元,结果稳定,但美观度稍差。适合预算有限且对美观要求不高的青少年患者。
陶瓷托槽矫正:20000-30000元,托槽颜色接近牙齿,较为隐蔽。矫正力度与金属托槽相当,但价格略高。
隐形矫正:25000-40000元,通过透明牙套逐步移动牙齿。适合对美观要求高的成年患者,但需要高度配合。
矫正费用通常包含全程治疗、保持器和复查,但拔牙、支抗钉等额外项目可能需要另收费。矫正周期一般为1-3年,复杂病例可能需要更长时间。

张医生从事口腔临床工作十余年,擅长各类复杂牙体牙髓治疗。他操作手法轻柔,很多患者反馈在他那里看牙没那么紧张。对于儿童牙病治疗也很有经验,能让孩子配合完成治疗。
李医生在修复领域颇有建树,尤其精通美学修复。她重视细节,会根据患者脸型、肤色设计较适合的修复方案。很多患者称赞她做的假牙既自然又舒适。
王医生是正畸专科医生,已完成数百例矫正病例。她善于根据患者年龄、面型制定个性化矫正方案。不少青少年患者在她的帮助下获得了整齐的牙齿。

"上周去补了两颗牙,整个过程比想象中顺利。医生很耐心地解释了不同补牙材料的区别,然后选了中等价位的。补完后没有任何不适,咬合也很自然。前台护士态度非常好,还提醒了注意事项。" —— 刘女士,32岁
"带孩子去做窝沟封闭,原本担心他会哭闹,没想到医生特别会哄小孩,用玩具分散他的注意力,很快就做完了。价格透明,没有隐形消费,环境也干净整洁。以后孩子的牙齿问题应该都会来这里看。" —— 赵先生,5岁患儿家长
"在这里做了种植牙,选了中档价位的韩国种植体。手术过程比预想的快,麻药过后有点胀痛但可以忍受。现在已经用了半年多,吃东西完全没有问题,外观也很自然。医生技术不错,就是预约要提前几天。" —— 周阿姨,58岁

医院位于朝阳区朝阳大悦城附近,具体地址是朝阳北路101号朝阳大悦城写字楼B座3层。
地铁出行:乘坐6号线至青年路站,B口出站后步行约5分钟即到。也可乘坐地铁1号线至大望路站,转乘公交或打车前往。
公交路线:乘坐126、306、486、517、615、639、640、快速公交2线等至青年路口站下车,步行3分钟即达。
自驾前往:朝阳大悦城有地下停车场,停车费8元/小时。就诊后可向医院前台索取停车优惠券,通常能减免部分停车费。

初诊较好提前1-2天预约,特别是周末就诊需求较大,临时去可能需要等待较长时间。
携带之前的口腔检查资料或X光片,有助于医生更多方面了解牙齿情况。
复杂治疗如种植、矫正等,建议先了解了解大概方案和费用,再决定是否进行治疗。
上午就诊人通常较少,等待时间相对较短。洁牙后半小时内避免进食染色性强的食物饮料。
治疗后如有不适,可随时联系医院了解,多数情况下属于正常反应,但医生会给予可靠指导。
王府井口腔医院朝阳大悦城店作为连锁机构的分院,在治疗质量和价格透明度方面表现不错。无论是常规检查还是复杂治疗,都能提供相对可靠的服务。建议根据自身需求选择合适的医生和治疗方案,多与医生沟通交流,才能获得满意的治疗结果。
· 相关阅读 ·