在东莞,如果您需要看牙,了解看牙收费价格表是非常有必要的。
以下为大家详细介绍东莞常见看牙项目的收费价格明细。

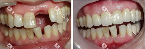
韩国进口种植牙(首颗)1580元起,性价比较高,适合多数患者的基本需求。
美国品牌种植牙6980元起,品质优良,技术成熟。德国品牌种植牙(2颗)9800元起,瑞典品牌种植牙(3颗)23800元起,这两个品牌的种植牙在生物相容性和稳定性方面表现出色。
半口种植牙29800元起,为牙齿缺失较多的患者提供了有效的解决方案。

金属托槽矫正4988元起,是较为传统且经济的矫正方式,适合预算有限的患者。
隐形矫正(时代天使)18800元起,半隐形的特性更加美观舒适。隐形矫正(隐适美)29800元起,作为高端隐形矫正规产品牌,在牙齿矫正改善和佩戴体验上都有出色表现。
儿童早期矫治(ETA)3800元起,儿童面型管理筛查9.9元起,帮助孩子从小拥有健康整齐的牙齿。

超声波洁牙98元起,能有效去除牙齿表面污垢和结石。
冷光美白(1次)611元起,让牙齿快速变白。瓷贴面(1颗)1380元起,用于改善牙齿外观,打造洁白整齐的牙齿。
儿童全口涂氟36元起,预防儿童龋齿。全口牙周刮治998元起,维护牙周健康。

美国3M树脂补牙66元起,补牙材料质量好,与牙齿贴合度高。
日本玻璃材料补牙58元起,适合乳牙等牙齿的修补。
儿童补牙58元起,专为儿童设计,更加安心舒适。
树脂窝沟封闭(单颗)9.9元起,有效预防窝沟龋。
铸瓷嵌体补牙980元起,修复牙齿缺损成效好。

威兰德全瓷牙冠套餐2200元起,高品质的牙冠美观且耐用。烤瓷牙冠498元起,价格较为亲民。
全瓷牙冠1200元起,具有良好的生物相容性。金属烤瓷牙冠888元起,兼具美观与实用。
CAD/CAM牙冠1500元起,制作工艺可靠。

以上价格仅供参考,实际收费标准可能会因患者的口腔具体情况、医院的政策以及所选材料等因素而有所波动。
如果您计划进行牙齿治疗,建议前往正规的口腔机构,与有经验的医生沟通,根据自身的牙齿状况和经济实力选择更适合的治疗方案。
在东莞,众多正规的口腔医疗机构都能为您的口腔健康保驾护航。
· 相关阅读 ·