德国西诺德贴面作为一种比较有名的牙齿美容修复产品,因其优异的性能和美观度受到许多消费者的青睐。以下将从其性能、价格以及用户评价等方面进行详细分析,帮助你更好地了解德国西诺德贴面。

德国西诺德贴面采用高品质的陶瓷材料,具有以下显著优势:
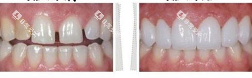
耐磨性和美观度:西诺德贴面的材质具有极高的耐磨性和抗腐蚀性,能够长时间保持美观。其色泽自然,能够非常好好地模拟真实牙齿的颜色和质感,使用后几乎无法察觉是人工修复。
精细工艺:西诺德贴面的制作过程极为精细,通过智能化扫描和计算机辅助设计,确保贴面与真实牙齿的理想贴合,从而达到更佳的修复结果。
耐用性:用户普遍反映,德国西诺德贴面的使用寿命较长,日常维护简单,只需保持良好的口腔卫生习惯即可。

德国西诺德贴面的价格因地区、医院及具体治疗方案的不同而有所差异。根据比较新信息,其价格大致在 3500元到4500元/颗。例如:
在上海,德国西诺德贴面的价格约为 4159元/颗。
在广州,德国西诺德贴面的价格约为 4559元/颗。

德国西诺德贴面在用户评价中表现出色,主要体现在以下几个方面:
美观度:许多用户表示,贴面安装后牙齿的外观得到了显著改善,色泽自然,与真实牙齿融为一体。
耐用性:用户普遍反映,西诺德贴面在使用过程中表现出色,没有出现折裂或脱落的情况,证明了其强大的耐用性。
舒适度:贴面的精细工艺使其与牙齿贴合紧密,佩戴舒适,不影响日常饮食和说话。

德国西诺德贴面凭借其优质的材料、精细的工艺、持久的耐用性以及自然美观的成效,成为了众多消费者牙齿美容修复的优选。其价格虽然略高于一些普通品牌,但考虑到其优异的性能和较高的性价比,无疑是物有所值的。
如果你正在寻找一种既美观又耐用的牙齿美容修复方案,德国西诺德贴面无疑是值得考虑的理想选择。
· 相关阅读 ·