别急着对智齿“一刀切”!牙医明确告知,正位智齿、有生长空间的、能形成咬合、靠近神经血管等十种情况拔除风险高或没必要。盲目拔牙可能伤神经、邻牙松动、出血不止!务必找正规牙医拍片评估,有些智齿真能陪你到老。

长得端端正正,不挡道不惹事的智齿,就像口腔里的模范生。只要它不疼不肿不捣乱,牙医通常建议“留校察看”,根本没必要让它提前“毕业”。
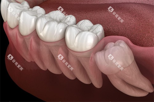
有些智齿长得稍微歪点,但周围地盘够大。这时候,矫正治疗可能比拔除更适宜。给它戴个“牙套”扶扶正,没准就能在咀嚼队伍里发光发热。

智齿冠周炎疼起来要命,但治好后呢?如果位置还行、没惹麻烦,牙医往往愿意给它一个机会。毕竟炎症是牙龈的事,牙齿本身可能是“背锅侠”。
上下的智齿要是能稳稳咬在一起,它们就构成了重要的咀嚼搭档。拔掉一个,另一个可能“失业”伸长,反而扰乱整个口腔的“工作秩序”。

一颗智齿没蛀没烂,能正常嚼东西,它就是有用的“劳动力”。留着它分担咀嚼压力,总比拔掉后让其他牙齿“996”加班强吧?
有些智齿牙根紧贴面部神经或大血管,拔除像在雷区排雷。稍有不慎可能损伤神经导致嘴唇麻木,或引发严峻出血。牙医对这种“高危户”格外谨慎。

特别是缺了后牙的朋友,智齿有时能化身支撑点,稳住旁边的牙齿或假牙。拔了它,整排牙可能“塌方”松动,这笔账怎么算都亏。
某些智齿和邻牙关系复杂,强行拔除可能伤及无辜,导致好牙松动移位。为了拔颗“坏分子”牺牲一颗“好同志”?牙医摇头:这买卖不划算!

有些智齿拔完容易感染、干槽症或长期疼痛,术后改善期能折腾你半个月。牙医评估后若风险大,多半建议保守观察。
智齿还在发育期?别急着判它“死刑”!给它点时间,等完全萌出后再做评估。万一它后来长正了呢?提前拔除反而可能影响颌骨发育。

看完这十种情况,是不是颠覆了“智齿必拔”的刻板印象?智齿拔不拔,真不是拍脑袋就能决定的私人恩怨。它牵涉神经血管、邻牙健康、口腔功能,风险比你想的复杂得多。
举个栗子,强行拔除紧贴神经的智齿,可能换来长期唇部麻木——喝汤漏汤、吃饭咬嘴,这种后遗症找谁说理去?又或者拔了本该留着的支撑牙,导致好牙歪斜松动,后续矫正费用和时间成本翻倍,肠子悔青也于事无补。

所以,单一正解是:找正规牙医拍片检查!医生会看片子、探位置、问症状,综合判断这颗智齿是“定时炸弹”还是“良民”。别图省事去小诊所,更别信“拔牙活动”的营销套路——你省下的几百块,可能赔上后半辈子吃饭的舒心。记住:该拔的智齿别犹豫,能留的牙齿别乱弃。下次牙疼时,先让医生看看片子再决定动刀吧!
· 相关阅读 ·