精密附着体义齿是口腔修复领域的一项重要技术,为众多牙齿缺失患者带来了更好的修复选择。
下面将详细介绍其种类、磁性假牙的适应症以及太极扣假牙与磁性假牙的区别。

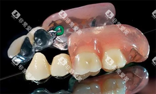
精密附着体义齿有多种类型。按制作工艺可分为成品附着体和自制附着体。
成品附着体是标准化生产的,精度高、质量稳定,如栓体栓道式附着体,它通过栓体与栓道的契合来实现义齿的固位,适用于各种类型的牙列缺损;杆卡式附着体则是利用杆和卡环的配合,具有较强的固位力和稳定性,常用于游离端缺失的修复。
自制附着体则是根据患者的具体口腔情况进行个性化制作,能更好地适应特殊的口腔条件。

磁性假牙具有独特的优势,其适应症也较为广泛。
对于牙槽嵴条件较差的患者,如牙槽嵴吸收重度、黏膜较薄等情况,磁性假牙可以提供较好的固位力,减轻患者佩戴义齿时的压痛感。
对于一些对美观和舒适度要求较高的患者,磁性假牙可以实现义齿的隐蔽性连接,外观更自然,且佩戴过程中较为舒适。
对于患有某些全身性疾病,不能承受复杂修复手术的患者,磁性假牙也是一种较为理想的修复方式。

太极扣和磁性假牙在多个方面存在区别。在固位原理上,太极扣主要通过机械锁扣的方式实现义齿的固位,其固位力相对稳定且较强;而磁性假牙则是利用磁体的吸引力来固定义齿,固位力相对较为柔和。
在适用范围上,太极扣适用于各种牙列缺损情况,尤其是对固位要求较高的患者;磁性假牙则更适合牙槽嵴条件不佳或对舒适度有较高要求的患者。
在使用寿命方面,太极扣的机械部件如果维护得当,可以使用较长时间;磁性假牙的磁体可能会随着时间推移出现磁力衰减的情况。

总之,精密附着体义齿为牙齿缺失患者提供了多样化的修复方案。
磁性假牙和太极扣假牙各有其特点和优势,患者应根据自身的口腔条件、经济状况和个人需求,在医生的可靠指导下选择较适合自己的修复方式,以获得良好的修复结果和生活质量。
· 相关阅读 ·