在盐城,补牙的价格因材料、损坏程度和诊所定位存在明显差异。根据2025年比较新数据,普通树脂补牙单颗价格在97元至800元不等,高端美学修复如瓷贴面则可能超过1800元。
本文将结合本地口腔诊所的实际报价,从材料类型、适用场景到价格区间,为您详细拆解补牙的“性价比选择”。

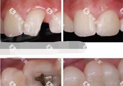
价格区间:600元/颗
树脂材料因其美观性和耐磨性成为主流选择,适合修复前牙或中等缺损:
Z250树脂:300元起
基础款光固化树脂,适合修复小范围龋齿,颜色自然但耐磨性一般。
Z350树脂:350元起
升级版纳米树脂,粘合性更强,适合后牙咬合面修复。
3M纳米树脂:350元-500元/颗
进口高端材料,色泽接近天然牙,耐磨性提升30%,适合对美观要求高的患者。
实例参考:
盐城市口腔医院普通树脂补牙报价175元起,而盐城华美口腔的Z350树脂套餐含抛光需要246元,性价比突出。

价格区间:701元-1800元/颗
针对前牙缺损或颜色异常,美学树脂通过分层堆塑技术还原牙齿形态:
P60树脂:701元起
专为前牙设计的高强度树脂,抗折裂性能优异,适合门牙修复。
德国美学树脂:800元-1800元/颗
采用微瓷填充技术,透光性媲美天然牙,常用于明星同款“微笑线”修复。
用户实测:
市民张女士在盐城市头一人民医院选择P60树脂修复门牙,总花费750元,术后结果自然,与邻牙无明显色差。

价格区间:500元-3588元/颗
若牙齿缺损较大或存在重的色素沉着,瓷贴面可通过薄层瓷片覆盖实现“焕白重生”:
树脂贴面:500元-1000元/颗
快速修复方案,但易老化变色,适合临时过渡。
E-MAX全瓷贴面:3588元/颗
超薄设计(厚度仅0.2mm),生物相容性较好,维持时间可达10年以上。
诊所对比:
盐城美奥口腔推出“全口12颗瓷贴面套餐”,原价4.3万元,活动价需要2.8万元,单颗均价降至2333元,适合追求整体美学的患者。
玻璃材料补牙:100元-200元/颗
含氟材料可缓慢释放氟材料预防继发龋,适合儿童乳牙或老年根面龋修复。
银汞合金补牙:100元-300元/颗
传统金属材料,强度高但美观性差,现已逐渐被树脂替代,仅少数诊所提供。

盐城补牙市场已形成“97元基础修复-3588元美学重塑”的完整价格带。建议根据牙齿缺损位置、预算及美观需求选择材料,并优先询问持有执业医师资格证的正规诊所。若需进一步了解诊所资质或优惠活动,可拨打盐城市口腔医院热线0515-88888008或访问全民健康网查询实时报价。
· 相关阅读 ·