"智齿发炎疼到想撞墙,结果医生说要拔阻生齿?这和普通智齿拔除有啥区别啊?"深夜刷到这条朋友圈,我瞬间想起上周被牙疼折磨的闺蜜——她举着冰袋哭唧唧说"早知道阻生齿这么贵,我当年就该早点拔!"

别慌!今天咱们就用"人话"聊透:智齿和阻生齿到底差在哪?为啥有人花300,有人掏3000?看完这篇,你连和医生砍价都更有底气!

"医生,我这智齿看着挺正的,咋拔完脸肿得像馒头?"上周在北 大口腔医院,26岁的程序员小李捂着腮帮子吐槽。主治医师刘伟指着X光片解释:"你这颗上颌智齿虽然冒头了,但牙根勾着上颌窦,得用超声骨刀小心分离,和完全萌出的智齿根本不是一个量级。"
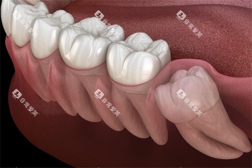
阻生齿的"作妖"姿势:
横着长(水平阻生):像钉子户卡在下颌骨里,得把牙齿劈成两半才能取出
倒着长(倒置阻生):牙冠朝向牙根方向,手术时要翻转180度操作
埋伏生长:完全藏在骨头里,得先切开牙龈、去除骨阻,堪称"考古式拔牙"
反观普通智齿,只要垂直萌出、牙冠完全暴露,医生用牙钳"咔嚓"一下就能搞定。网友@牙套小妹的日记本 曾分享:"我拔右上智齿全程5分钟,连麻药都没补,下午就去吃火锅了!"

"同一家医院,我拔上颌智齿花了400,同事拔下颌阻生齿却掏了2800!"在朝阳区某综合医院候诊时,两位患者的对话道出了关键——价格差距主要看"阻生程度"和"手术复杂度"。
价格梯度:
基础款(普通智齿):200-600元
条件:垂直萌出、牙冠完全暴露
操作:局部麻醉+牙钳拔除
病例:23岁的小周在社区诊所拔左上智齿,全程10分钟,含麻药和降低炎症药共花费380元
进阶款(部分阻生):800-1500元
条件:半埋伏、牙冠部分被牙龈覆盖
操作:需切开牙龈、翻瓣术
病例:28岁的李女士在私立口腔医院拔右下阻生齿,因牙根贴近神经管,采用小创口拔除术,费用1200元
豪华款(完全埋伏阻生):1500-3000元+
条件:完全埋在骨头内、邻近重要结构
操作:CBCT定位+超声骨刀去骨+分牙术
病例:35岁的张先生在华 西口腔医院拔下颌埋伏阻生齿,因牙根勾住下牙槽神经,手术耗时1小时,费用达2800元
附加费陷阱:
术前检查:全景片80-150元,CBCT(三维影像)200-400元
麻醉升级:局部浸润麻醉免费,神经阻滞麻醉加收200-500元
材料费:可吸收缝合线比普通丝线贵50-100元

"拔完阻生齿第三天,我张嘴就像被502粘住,喝粥都漏!"在海淀区某口腔诊所,刚拔完阻生齿的王女士苦着脸说。主治医师陈琳递给她冰袋:"完全埋伏的阻生齿,创口相当于做了个小手术,改善慢是正常的。"
改善时间线:
普通智齿:
24小时内:麻药消退后轻微胀痛,冰敷可缓解
3-5天:软组织基本愈合,可正常进食(避开硬物)
7天:拆线(如有缝合),完全重回正常
阻生齿:
48小时内:严峻肿胀,可能伴随低烧,需口服抗生素
1周:创口开始愈合,但张口度仍受限
2-4周:骨组织修复完成,完全改善咀嚼功能
加速改善小技巧:
术后24小时:用冰袋"间歇式冷敷"(敷10分钟停5分钟)
饮食:前3天以温凉流食为主(如南瓜粥、鸡蛋羹)
清洁:用含氯己定的漱口水(术后24小时后开始)

误区1:"所有智齿都必须拔"
真相:只有反复发炎、阻生、影响邻牙或正畸需要的智齿才需拔除。网友@牙医老张的科普 曾说:"我见过患者把完全萌出且咬合正常的智齿拔了,结果邻牙反而出现食物嵌塞!"
误区2:"拔阻生齿越快越好"
真相:盲目追求速度可能导致牙根折断、神经损伤。北京协和医院口腔科主管曾强调:"复杂阻生齿拔除,宁可多花20分钟精细操作,也不能冒险。"
误区3:"小诊所更便宜"
风险:无CBCT定位可能伤及神经,无菌操作不达标易引发干槽症(剧烈疼痛伴腐臭味)。网友@拔牙血泪史 分享:"在美容院花500拔阻生齿,结果术后感染花了3000治!"

"我同事在综合医院花2000拔阻生齿,我在小诊所花800,结果她3天就好,我10天还肿着!"在望京某口腔门诊,两位患者的对话点醒了所有人——技术差异远大于价格差异。
选医生黄金法则:
看资质:优先选择口腔颌面外科专科医师(卫健委官网可查执业范围)
看病例:要求医生展示同类型阻生齿的术前术后X光片
看设备:正规机构应配备CBCT、超声骨刀等设备
然后想对正在纠结的你喊话:无论是300还是3000,健康投资永远不亏!毕竟,比起半夜疼醒的煎熬,和医生好好聊聊、选对方案,才是真正的"省钱之道"。

互动时间:你拔过智齿吗?是"轻松模式"还是"地狱难度"?评论区晒出你的经历,点赞更高的3位送口腔护理大礼包!
· 相关阅读 ·