在太原这座历史与现代交融的城市里,口腔健康已成为越来越多市民关注的焦点。
面对种植牙、牙齿矫正等需求,选择一家技术可靠、服务贴心的口腔机构至关重要。
太原爱贝丽口腔作为当地比较有名连锁品牌,凭借其特色的医疗团队、透明的收费体系和良好的患者口碑,成为许多人的首要选择。
本文将从技术实力、服务特色、价格透明度及真实患者评价四个维度,为您齐全解析这家口腔机构的真实水平。

1. 种植牙技术:多品牌选择,精密适配不同需求
太原爱贝丽口腔在种植牙领域积累了丰富经验,提供从国产到进口的多品牌种植体选择。
例如,韩国奥齿泰种植牙+全瓷冠套餐需要3500元/颗起,性价比极高;而瑞士士卓曼、诺贝尔等高端品牌则适合对品质要求更高的患者。
医生团队会根据患者的牙槽骨条件、预算及美观需求,制定个性化方案。
例如,全口种植牙采用智能化导板技术,精密定位种植体位置,缩短手术时间,术后修养更快。
2. 正畸技术:隐形矫正与金属托槽双管齐下
针对牙齿不齐问题,爱贝丽口腔提供传统金属托槽、自锁托槽及隐形矫正器(如隐适美、正雅)等多种方案。
金属自锁托槽矫正因矫治力均匀、复诊间隔长,成为学生和上班族的热门选择;而隐形矫正器则凭借美观、可摘戴的特点,深受年轻群体青睐。
医生会通过3D口扫技术模拟矫正过程,让患者提前预览结果,增强治疗信心。
3. 儿童牙科:早期干预,守护孩子笑容
针对儿童乳牙早失、地包天等问题,爱贝丽口腔推出功能矫治器(3000-6000元)和早期干预矫正(4800元起),通过引导颌骨发育,避免未来更复杂的正畸治疗。
诊所环境充满童趣,医护人员耐心细致,帮助孩子克服看牙恐惧。

1. 透明收费,无隐形消费
爱贝丽口腔严格执行“一价包括”政策,所有项目价格在官网和店内公示。
例如,普通洗牙80元起,超声波洗牙120元起,冷光美白1000-2000元/次,价格清晰透明。
患者可根据需求选择套餐,避免术中加价等纠纷。
2. 预约制就诊,节省时间成本
通过电话、微信或在线平台即可预约就诊,减少排队等待。
诊所提供免费停车场,方便自驾患者。
营业时间延长至晚10点,兼顾上班族和学生的时间安排。
3. 术后跟踪,全程无忧
从初诊到治疗结束,医护人员会定期回访,询问修养情况并给予特色指导。
例如,种植牙术后会提醒患者注意饮食软硬,避免剧烈运动;正畸患者则会收到刷牙技巧、牙套清洁方法等贴心提示。

爱贝丽口腔的价格体系兼顾了不同消费群体的需求。
例如:
种植牙:国产种植牙2680元/颗起,适合预算有限的患者;韩国奥齿泰3500元/颗起,性价比突出;瑞士士卓曼7290元/颗起,满足高端需求。
正畸:传统金属托槽矫正5000-10000元,适合青少年;隐形矫正器15000-30000元,适合在意美观的成人。
基础治疗:普通补牙299元起,儿童进口材料补牙180元起,价格亲民。
诊所负责人表示:“我们希望通过合理的定价,让更多人享受到高质量的口腔医疗服务,而不是被高价拒之门外。”
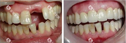
实例1:种植牙患者李女士
“我缺牙多年,一直不敢种牙,怕疼也怕贵。
在爱贝丽口腔,医生用3D模型给我展示了种植过程,还推荐了奥齿泰种植体,价格3500元,比我想象中便宜很多。
手术只用了20分钟,术后几乎没有肿胀,现在吃东西和真牙一样!”
实例2:正畸患者王同学
“我牙齿不齐,一直很自卑。
在爱贝丽口腔,医生建议我用自锁托槽矫正,价格7000多元,多期付款压力小。
现在矫正半年了,牙齿明显变齐,同学都说我笑起来好看多了!”
实例3:儿童牙科家长张女士
“孩子乳牙早失,担心影响恒牙发育。
在爱贝丽口腔,医生给孩子做了间隙保持器,价格400多元,还教了我很多儿童护牙知识。
现在孩子每天主动刷牙,再也不用我追着提醒了!”

综合技术实力、服务特色、价格透明度及患者评价,太原爱贝丽口腔无疑是一家值得信赖的口腔机构。
其优势在于:
技术齐全:覆盖种植、正畸、修复、儿牙等全领域,满足多样化需求;
服务贴心:从预约到术后跟踪,全程无忧;
价格合理:高性价比套餐,无隐形消费;
口碑良好:真实患者好评如潮,复购率高。
如果您正在寻找一家技术可靠、服务周到的口腔机构,太原爱贝丽口腔值得一试。
无论是种植牙、牙齿矫正还是基础治疗,这里都能为您提供特色的解决方案,让您的笑容更加自信灿烂!"
· 相关阅读 ·