“牙疼不是病,疼起来真要命!”这句老话道出了多少人对口腔问题的无奈。可你知道吗?现在看牙不仅疼起来要命,钱包也可能跟着“瘦身”!不过别慌,2026年都江堰更新牙科收费标准新鲜出炉,全瓷贴面、活动义齿、种植牙、隐形矫正这些热门项目到底要花多少钱?哪些品牌性价比高?哪些服务更划算?今天这篇“价格清单”帮你一次性理清楚,看完再去看牙,心里有底不踩坑!


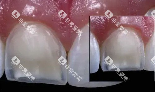
全瓷贴面是近年来超火的“美牙神器”,不用磨牙、不用戴牙套,贴一片就能让牙齿变白变整齐,堪称“牙齿界的美颜滤镜”。不过价格跨度可不小,从3030元到上万元都有,具体得看材料、品牌和牙齿情况。
1. 基础款:国产全瓷贴面
国产普通全瓷贴面:3030元起/颗
适合牙齿轻微发黄、形态基本正常的朋友,性价比高,适合预算有限但想改善牙齿颜色的人群。
2. 进口品牌:高端材质更耐用
德国VITA全瓷贴面:4500元起/颗
德国工艺,材质透光性好,贴上后自然逼真,适合对美观度要求高的朋友。
美国3M LAVA全瓷贴面:5800元起/颗
3M品牌,抗磨损性强,颜色持久度高,适合经常喝咖啡、喝茶的“重的口味”人群。
瑞士E-MAX全瓷贴面:6800元起/颗
瑞士进口,超薄设计(更薄可至0.2mm),贴上后几乎感觉不到异物感,适合追求极致舒适度的朋友。
3. 定制款:根据牙齿情况“量齿打造”
复杂病例全瓷贴面:8000元起/颗
如果牙齿畸形严峻、颜色特别深,或者需要调整咬合关系,医生会根据牙齿情况定制贴面,价格会更高,但结果也更精密。
小贴士:全瓷贴面的价格还受医生技术影响,经验充足的医生操作更精细,贴面边缘更贴合,减少后期脱落风险,建议选择正规口腔机构,别贪便宜找“路边摊”!

活动义齿(俗称“假牙”)是缺牙人群的“老朋友”,价格亲民,安装方便,适合预算有限或牙齿缺失较多的朋友。不过活动义齿的材质和设计差异大,价格从1500元到上万元都有,选对类型能省不少钱!
1. 基础款:树脂基托活动义齿
单颗树脂活动义齿:1500元起/颗
适合缺牙数量少、口腔条件好的朋友,树脂基托轻便,但耐用性一般,适合短期使用或临时过渡。
局部树脂活动义齿:3000元起/副
缺牙2-3颗时可选,基托覆盖部分牙槽骨,稳定性比单颗更好,适合前牙缺失影响美观的情况。
2. 进阶款:金属支架活动义齿
钴铬合金支架义齿:4500元起/副
钴铬合金强度高,不易变形,适合后牙缺失、咀嚼力大的朋友,价格比树脂款高,但更耐用。
纯钛支架义齿:7800元起/副
纯钛材质轻便(重量只有钴铬合金的1/3),生物相容性好,适合对金属过敏或追求舒适度的朋友。
3. 高端款:隐形活动义齿
隐形活动义齿:9800元起/副
基托采用弹性树脂,贴合牙龈,从外面几乎看不到假牙痕迹,适合前牙缺失、对美观要求高的朋友,但价格较高。
小贴士:活动义齿需要定期更换(一般5-8年),日常要清洁干净,避免食物残渣堆积导致牙龈发炎。如果缺牙数量多,建议考虑种植牙或固定桥,稳定性更好!

种植牙是缺牙修复的“黄金标准”,不用磨旁边的健康牙,咬合力接近真牙,使用寿命长达20年以上,堪称“牙齿界的‘长期伴侣’”。不过种植牙的价格差异大,从2980元到上万元都有,选对品牌和型号能省一大笔!
1. 亲民款:国产种植牙
国产创英种植牙:2980元起/颗
国产性价比之王,适合预算有限但想种牙的朋友,材质和工艺达标,适合单颗缺牙修复。
国产威高种植牙:3800元起/颗
威高是国产医疗巨头,种植体设计符合东方人牙槽骨特点,适合骨质条件一般的朋友。
2. 进口性价比款:韩国种植牙
韩国登腾种植牙:5800元起/颗
韩国“国民种植牙”,性价比高,适合大多数缺牙情况,术后修复快,适合年轻人。
韩国奥齿泰种植牙:7800元起/颗
奥齿泰是登腾的“升级版”,表面处理技术更可靠,适合骨质条件较差或需要即刻种植的朋友。
3. 高端款:欧美种植牙
德国ICX种植牙:9800元起/颗
德国工艺,材质稳定,适合后牙缺失、咀嚼力大的朋友,使用寿命长。
美国皓圣种植牙:12800元起/颗
皓圣是美国高端品牌,表面涂层技术可靠,适合骨质疏松或需要快速愈合的朋友。
瑞士ITI种植牙:15800元起/颗
瑞士“种植牙中的爱马仕”,稳定性较好,适合全口缺牙或对品质要求极高的朋友。
4. 多颗/半口/全口种植:按需定制更划算
多颗种植牙:根据缺牙数量和位置定制,价格比单颗更优惠(例如3颗种植牙可能只需2万元起)。
半口种植牙:2万元起
适合上半口或下半口缺牙的朋友,采用“All-on-4”技术,4颗种植体支撑半口牙桥,省时省钱。
全口种植牙:15万元起
全口缺牙的“理想方案”,采用“All-on-6”或“All-on-8”技术,6-8颗种植体支撑全口牙桥,咬合力强,舒适度高。
小贴士:种植牙的价格还包含手术费、牙冠费和术后维护费,部分机构会打包收费,问价时一定要问清楚“是否包含全流程费用”,避免隐形消费!

隐形矫正(俗称“隐形牙套”)是年轻人的“变漂亮神器”,不用戴钢牙套,每天戴20小时以上,2-3年就能悄悄排齐牙齿,适合对美观要求高的朋友。不过价格跨度大,从1.68万元到5万元都有,选对品牌能省不少钱!
1. 国产性价比款
时代天使comfos矫正:1.68万元起
时代天使是国产隐形矫正“一哥”,comfos系列适合简单病例(如牙齿轻微拥挤、缝隙),价格亲民,适合学生党。
正雅隐形矫正:2万元起
正雅是国产新锐品牌,材质柔软,佩戴舒适,适合对舒适度要求高的朋友。
2. 进口高端款
隐适美隐形矫正:3.8万元起
隐适美是国内外隐形矫正“招牌”,材质透光性好,矫正力精密,适合复杂病例(如牙齿严峻拥挤、咬合深覆合),适合预算充足的朋友。
时代天使双膜隐形矫正:2.98万元起
时代天使的“高端线”,采用双膜设计(日膜+夜膜),矫正效率更高,适合想快速变漂亮的朋友。
3. 定制款:根据牙齿情况“精密矫正”
复杂病例隐形矫正:4万元起
如果牙齿畸形严峻(如地包天、龅牙),需要更多矫治器和更长时间,价格会更高,但结果也更精密。
小贴士:隐形矫正的费用包含矫治器费、复诊费和保持器费,部分机构会提供多期付款(分12-24期),每月只需还1000-2000元,压力更小!

2026年都江堰牙科收费标准已经清晰明了,全瓷贴面、活动义齿、种植牙、隐形矫正这些热门项目都有明确的“价格清单”。看牙前先对比价格,选对品牌和机构,既能省钱又能确保结果,再也不用担心被“坑”啦!
· 相关阅读 ·