镇江瑞康医院口腔科作为当地一家备受关注的口腔诊疗科室,其收费价格自然成为了许多人关心的问题。
下面,我们就来详细整理一下镇江瑞康医院口腔科从洗牙到根管治疗等项目的收费价格情况。

洗牙是一种常见的口腔保健方式,它可以有效清除牙齿表面的牙菌斑、牙结石和色素,预防牙周疾病。
在镇江瑞康医院口腔科,洗牙项目根据不同的方式和套餐有不同的收费标准。
超声波洗牙
这是比较常见的洗牙方式,利用超声波的高频震荡作用去除牙结石。
一般来说,普通的超声波洗牙费用在200 - 300元左右。
这种洗牙方式价格相对较为亲民,适合大多数人进行日常的口腔清洁维护。
喷砂洗牙
喷砂洗牙是在超声波洗牙的基础上,通过喷砂技术进一步清洁牙齿表面的细小污渍和色素。
它能够使牙齿更加光洁,对于牙齿表面有较多色素沉着的人来说结果更好。
镇江瑞康医院口腔科的喷砂洗牙费用大概在300 - 500元之间,具体价格可能会因个人牙齿情况和使用的材料不同而有所波动。

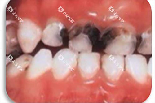
补牙是治疗龋齿的常见方法,根据龋齿的重的程度和使用的补牙材料不同,收费也有所差异。
树脂补牙
树脂材料是目前补牙常用的材料,它具有美观、粘结性好等优点。
在镇江瑞康医院口腔科,树脂补牙的费用根据牙齿龋坏的部位和使用的树脂材料质量而定。
一般前牙树脂补牙一颗的费用在200 - 400元左右,后牙由于承担的咀嚼压力较大,对材料的要求更高,费用可能在300 - 600元一颗。
银汞合金补牙
银汞合金是一种传统的补牙材料,其优点是强度高、耐磨性好,但美观性较差。
由于现在人们对牙齿美观度的要求越来越高,银汞合金补牙的使用相对较少。
镇江瑞康医院口腔科银汞合金补牙的费用相对较低,一颗大概在100 - 200元左右。

拔牙是口腔科常见的治疗手段,不同类型的牙齿拔除费用也不一样。
乳牙拔除
对于儿童来说,乳牙到了一定年龄会自然脱落,但有时也需要人为拔除。
镇江瑞康医院口腔科乳牙拔除的费用比较低,一般一颗在20 - 50元左右。
恒牙拔除
恒牙拔除的费用则要根据牙齿的位置和拔除的难度来确定。
普通的前牙拔除费用相对较低,一颗在100 - 200元左右;后牙尤其是磨牙,由于牙根复杂,拔除难度较大,费用可能在200 - 500元一颗。
如果是智齿拔除,由于智齿的生长位置和形态各异,拔除难度差异较大,费用也会有较大波动,一般在300 - 1000元不等。

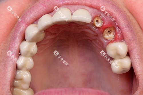
根管治疗是治疗牙髓炎、根尖周炎等牙髓疾病的有效方法,其过程相对复杂,收费也较高。
前牙根管治疗
前牙的根管数目相对较少,一般为1 - 2个根管,治疗相对简单。
镇江瑞康医院口腔科前牙根管治疗的费用大概在500 - 1000元左右。
前磨牙根管治疗
前磨牙的根管数目一般为1 - 2个,治疗难度稍高于前牙。
其根管治疗费用在800 - 1500元左右。
磨牙根管治疗
磨牙的根管数目较多,一般为3 - 4个根管,治疗过程复杂,对医生的技术要求也较高。
镇江瑞康医院口腔科磨牙根管治疗的费用在1500 - 3000元左右。

牙齿情况
每个人的牙齿状况不同,治疗的难度和所需的材料、时间也会有所差异。
例如,龋齿较深的牙齿在补牙时可能需要较高行垫底处理,这会增加治疗的成本;根管治疗中,如果根管弯曲、钙化等情况复杂,治疗难度增大,费用也会相应提高。
材料选择
在补牙、镶牙等项目中,不同的材料价格差异较大。
例如,补牙材料有普通树脂和进口树脂之分,进口树脂的性能和美观度可能更好,但价格也会更高;镶牙材料有烤瓷牙、全瓷牙等,全瓷牙的生物相容性和美观度优于烤瓷牙,价格也相对较贵。
医生技术水平
经验充足、技术娴熟的医生在治疗过程中能够更好地确保治疗结果,降低治疗风险。
因此,由高端医师进行治疗的费用可能会比普通医生略高。

虽然我们整理了镇江瑞康医院口腔科大致的收费价格范围,但具体的费用还需要根据个人的实际情况来确定。
如果您想了解比较准的收费价格,可以通过以下几种方式:
医院官网查询
镇江瑞康医院的正式网站上可能会公布一些常见口腔项目的收费标准,您可以登录官网进行查询。
电话了解
您可以拨打镇江瑞康医院口腔科的了解电话,向工作人员详细描述自己的牙齿情况,了解具体的治疗费用。
到院面诊
直接到医院口腔科进行面诊,医生会对您的牙齿进行详细检查,制定个性化的治疗方案,并告知您具体的收费情况。

总之,镇江瑞康医院口腔科在收费方面会根据不同的口腔项目和患者的实际情况进行合理定价。
希望大家在关注口腔健康的同时,也能对看牙的费用有一个清晰的了解。
· 相关阅读 ·