在口腔医疗领域,种植牙是一项备受关注的技术,它为众多牙齿缺失患者带来了重获健康牙齿的希望。
金铂利口腔医院作为一家可靠的口腔医疗机构,其种植牙技术备受患者关注。那么,金铂利口腔医院种植牙究竟怎么样呢?

金铂利口腔医院拥有一支经验充足、技术优质的种植牙医疗团队。
团队中的医生们都经过了严格的特色培训,具备扎实的口腔医学理论知识和丰富的临床实践经验。
他们不仅熟练掌握基础种植牙技术,对于复杂的种植牙术例也有着深入的研究和成功的治疗经验。
无论是单颗牙缺失、多颗牙缺失,还是全口牙缺失等复杂情况,医生们都能根据患者的具体情况制定个性化的种植方案,确保种植结果达到比较佳。

为了提供更更准一些、较高的效率的种植牙服务,金铂利口腔医院引进了一系列可靠的口腔诊疗设备。
这些设备能够帮助医生更更准地了解患者口腔的内部结构,包括牙槽骨的密度、高度、宽度等重要信息,从而为种植手术提供可靠的依据。
同时,可靠的设备也使得种植手术更加靠谱、小创口,减少患者的痛苦和术后修养时间。

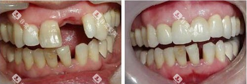
多年来,金铂利口腔医院积累了大量的种植牙成功术例。
从基础的单颗种植牙到复杂的全口种植牙,每一个术例都见证了医院在种植牙领域的特色实力。
通过这些实际术例可以看到,金铂利口腔医院的种植牙结果显著,患者满意度高。
许多患者在接受种植手术后,不仅修养了正常的咀嚼功能,而且牙齿外观也十分自然美观,重拾了自信的笑容。

除了特色的技术和可靠的设备,金铂利口腔医院还重视为患者提供优质的服务体验。
从患者进门的那一刻起,医护人员就会热情接待,耐心解答患者的疑问,并为患者提供贴心的指导。
在治疗过程中,医院会充分考虑患者的感受,尽量减少患者的紧张和不适。术后,医院还会对患者进行跟踪回访,确保患者的种植结果和口腔健康。

综上所述,无论是基础种植牙还是复杂种植牙,金铂利口腔医院都有能力为患者提供优质、较高的效率的治疗服务。
如果您正在为牙齿缺失问题而烦恼,不妨考虑选择金铂利口腔医院,让特色的医生为您解决牙齿难题,重享健康生活。
· 相关阅读 ·