今天,我们就来了解一下泰山缔杰种植牙,看看它为何能在众多国产植体中脱颖而出,成为性价比之选。
近年来,国产种植牙品牌不断发展壮大,凭借着可靠的技术、可靠的质量和亲民的价格,逐渐赢得了患者的信任。
泰山缔杰种植牙作为国产植体的代表之一,更是在市场上崭露头角。
它不仅拥有国内外可靠的种植技术,还充分考虑了国人的口腔特点和需求,为患者提供了更加个性化的种植方案。

高品质的材料
泰山缔杰种植牙采用了优质的种植材料,具有良好的生物相容性和稳定性。
这种材料能够与人体骨组织紧密结合,为种植牙的长期使用提供了坚实的支持。同时,它还具有抗腐蚀、耐磨损等特点,能够有效延长种植牙的使用寿命。

可靠的技术支持
泰山缔杰种植牙拥有可靠的种植技术和设备,能够实现比较准种植。
医生可以通过智能化口腔扫描技术,获取患者口腔的详细数据,制定出更加科学、合理的种植方案。在种植过程中,采用小创口种植技术,减少了手术创伤和患者的痛苦,术后修养也更快。
个性化的服务
泰山缔杰种植牙看重患者的体验和需求,提供个性化的服务。
医生会根据患者的口腔情况、身体状况和个人需求,制定出较适合患者的种植方案。
同时,在种植前后,还会为患者提供多方位的口腔护理指导,确保种植牙的结果和使用寿命。

较高的性价比
与进口种植牙相比,泰山缔杰种植牙的价格更加亲民。
它在确保高品质的同时,大大降低了患者的治疗成本。对于那些想要拥有一口健康牙齿,但又担心费用过高的患者来说,泰山缔杰种植牙无疑是一个可靠的选择。
而且,国产植体在售后服务方面也更加便捷,能够为患者提供更加及时、较高的效率的服务。

患者的真实反馈
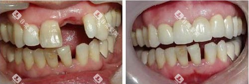
许多选择了泰山缔杰种植牙的患者都对其结果和服务赞不绝口。
他们表示,种植牙后不仅修养了正常的咀嚼功能,而且外观也非常自然,几乎看不出是种植牙。
同时,治疗过程中的体验也非常好,医生和护士都非常正规和贴心,让他们感受到了家一般的温暖。

如果你正在为缺失牙问题而烦恼,不妨考虑一下泰山缔杰种植牙。
相信它会给你带来意想不到的惊喜,让你拥有一口健康、美丽的牙齿,享受高品质的生活。
· 相关阅读 ·