在乐山,如果有种植牙需求,很多人都会关心哪家机构比较好。
经过网友评选,为大家整理出了乐山种牙排行前五的牙科,分别是立德口腔、品众口腔、启辰口腔、达芬奇口腔和英美口腔。
下面就来详细了解一下这些牙科机构。

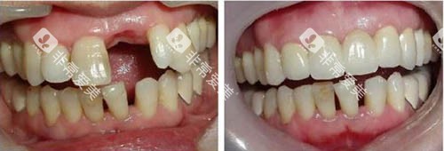
牙齿缺失不仅会影响美观,还会对咀嚼功能造成非常大影响,进而影响身体健康。
种植牙作为一种靠前的牙齿修复方式,能够比较好地改善牙齿的功能和美观,因此受到了越来越多人的关注。
在乐山,随着人们对口腔健康重视程度的提高,种植牙市场也日益繁荣,各类牙科机构纷纷涌现。
不过,面对众多的选择,患者往往会感到迷茫,不知道该如何挑选一家靠谱的种植牙机构。

立德口腔
立德口腔在乐山当地拥有较高的有名和良好的口碑。
该机构汇聚了一批经验充足的口腔医生,他们在种植牙领域有着深厚的造诣。
在设备方面,立德口腔引进了国内外靠前的种植牙设备,能够为患者提供精密的口腔检查和种植方案设计。
在服务上,立德口腔以患者为中心,从患者进门开始就有专门的导医进行引导,为患者提供贴心的服务。
在种植牙过程中,医生会详细地向患者解释每一个步骤,让患者消除顾虑。
同时,该机构还提供术后回访服务,及时了解患者的改善情况,确保种植结果。
许多在立德口腔做过种植牙的患者都表示,在这里种牙不仅技术可靠,服务也让人非常满意。

品众口腔
品众口腔是一家专注于口腔种植的特色机构。
他们拥有一支特色的种植团队,团队中的医生都经过了严格的特色培训,具备丰富的临床经验。
品众口腔采用智能化种植技术,通过计算机辅助设计和导航系统,能够精细地确定种植体的位置和深度,大大提高了种植的成功概率。
在收费方面,品众口腔一直坚持透明化原则,让患者清楚每一笔费用的去向。
此外,该机构还经常推出一些优惠活动,减轻患者的经济负担。
品众口腔的环境也十分舒适,宽敞明亮的诊疗室、温馨的候诊区,让患者在轻松的氛围中接受治疗。
不少患者反馈,在品众口腔种牙既放心又实惠。

启辰口腔
启辰口腔在乐山种牙领域也有着不错的表现。
该机构注生的技术提升,定期组织医生参加国内外的学术交流活动,让医生及时了解行业的更新动态和技术。
启辰口腔的种植牙方案具有个性化特点,医生会根据患者的口腔状况、身体状况和个人需求,制定出更适合患者的种植方案。
在消毒方面,启辰口腔有着严格的标准。
所有的器械都经过高温高压消毒,诊疗室也会定期进行多方面消毒,确保患者在可靠卫生的环境中接受治疗。
启辰口腔还提供舒适的休息区,为患者缓解紧张情绪。
有患者评价,启辰口腔的医生特色且负责,种牙结果令人满意。

达芬奇口腔
达芬奇口腔以其靠前的技术和优质的服务在乐山种牙市场占据一席之地。
该机构引进了靠前的3D口腔扫描技术,能够快速、比较准地获取患者口腔的三维数据,为种植方案的制定提供更精细的依据。
达芬奇口腔的医生团队不仅技术优质,而且服务态度热情。
他们会耐心地解答患者的疑问,让患者充分了解种植牙的相关知识。
在术后护理方面,达芬奇口腔为患者提供详细的护理指导,帮助患者更快地改善。
很多患者都对达芬奇口腔的技术和服务赞不绝口,认为在这里种牙是一个明智的选择。

英美口腔
英美口腔是一家具有国内外化视野的牙科机构。
他们与国内外多家老牌口腔机构保持着密切的合作,能够及时引进国内外靠前的种植牙技术和理念。
英美口腔的医生团队具有丰富的国内外交流经验,能够为患者提供国内外化的口腔种植服务。
在环境打造上,英美口腔营造了舒适、优雅的诊疗环境,让患者在享受治疗的同时感受到高品质的服务。
该机构还重视患者的隐私保护,每个诊疗室都采用独立设计,为患者提供一个私密的诊疗空间。
有患者表示,在英美口腔种牙仿佛置身于国内外良好的口腔诊所,体验非常好。

在乐山选择种植牙机构时,患者不能仅仅看排行,还需要综合多方面因素进行考虑。
首先,要关注机构的医生资质和经验,医生的技术水平直接关系到种植的结果。
其次,设备的靠前程度也很重要,靠前的设备能够提高种植的精密度和成功概率。
此外,机构的服务质量、收费标准以及消毒措施等方面也都需要进行考察。
患者可以通过问询身边种过牙的朋友、查看网络评价等方式,对各个机构进行多方面了解,然后再做出选择。

乐山的这五家牙科机构——立德口腔、品众口腔、启辰口腔、达芬奇口腔和英美口腔,在种植牙领域都有着各自的优势。
希望通过本文的介绍,能够帮助有种植牙需求的患者更好地了解这些机构,选择一家适合自己的种植牙机构,早日改善健康的牙齿和灿烂的笑容。
在选择过程中,患者一定要谨慎,多做比较,确保自己能够得到优质的种植牙服务。
· 相关阅读 ·