嘿,伊宁的朋友们!是不是总被牙齿缺失的问题困扰?吃啥都不香,说话还漏风,美貌也跟着受影响。
想去种牙吧,又怕花钱多还踩坑。
其实啊,种牙这事儿,花多少钱、选哪家医院,里面门道可不少。
今天我就结合网上能查到的真实信息,还有自己的经验,跟大家好好唠唠在伊宁市做一颗种植牙的那些事儿。
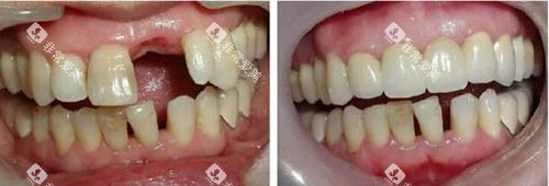
种植牙,那可是如今口腔修复领域的“扛把子”,被称为口腔界的“劳斯莱斯”。
为啥这么说呢?首先,它的外观和功能都跟真牙没啥两样。
你想想,装上种植牙,想吃啥就吃啥,啃排骨、吃坚果,都不在话下,完全不会影响你的生活质量。
而且,种植牙非常稳固,就像在牙槽骨里安了个“小钉子”,能陪伴你很长时间,不用像传统假牙那样时不时拿下来清洗。
另外,种植牙对邻牙的损伤也很小,能较大程度地保留你自己的牙齿组织。
不过呢,种植牙也不是十全十美的。
它的价格相对较高,手术过程也比较复杂,需要一定的修复时间。
所以啊,在决定做种植牙之前,一定要充分了解相关信息,做好心理准备。

在伊宁市种一颗牙,到底要花多少钱呢?这可是大家较关心的问题。
其实,种植牙的价格受到很多因素的影响,比如种植体的品牌、牙冠的材料、医院的收费标准等等。

目前市面上常见的种植体品牌有很多,像国产的、韩国的、瑞士的等等。
不同品牌的种植体,价格差异还挺大的。
国产种植体:价格相对较低,一般在3800元起/颗。
虽然价格便宜,但质量也有维持,现在国产种植体的技术越来越成熟,很多患者反馈使用结果也不错。
韩国种植体:性价比比较高,比如韩国登腾种植牙,价格在4500元起/颗。
韩国种植体在东方市场很受欢迎,它的设计更符合东方人的口腔特点,而且临床术例也比较多。
瑞士种植体:属于高端品牌,像瑞士ITI亲水种植牙,价格在12800元起/颗。
瑞士种植体的质量和稳定性都非常好,使用寿命也比较长,适合对种植牙要求比较高的患者。

牙冠是种植牙露在外面的部分,它的材料直接影响到种植牙的美观度和使用寿命。
常见的牙冠材料有烤瓷冠、全瓷冠等。
烤瓷冠:价格相对较低,一般包含在基础款种植牙套餐里。
烤瓷冠的优点是强度高,但美观度相对较差,而且可能会出现牙龈黑线的问题。
全瓷冠:美观度非常好,几乎可以达到以假乱真的结果,而且生物相容性也比较好,不会对牙龈造成刺激。
不过,全瓷冠的价格相对较高。

不同的医院,种植牙的收费标准也不一样。
一般来说,大型口腔医院的价格会比小诊所高一些,但它们的技术水平和服务质量也更有维持。
另外,一些医院会定期推出优惠活动,比如“种植牙+牙冠”套餐,能为患者节省不少费用。

选对医院,种牙就成功了一半。
在伊宁市,有很多口腔医院可供选择,到底哪家更靠谱呢?下面我就给大家介绍几家口碑不错的医院。
伊宁福宏林口腔:技术大咖,种牙实力派
伊宁福宏林口腔可是伊犁地区仅有具备医院资质的口腔机构,实力不容小觑。
这里有新疆“种植牙头一人”周其林领衔的医师团队,技术那叫一个杠杠的。
他们创新的“即刻负重”技术,能让患者当天种牙当天吃饭,简直太神奇了!2025年引进的智能化导板种植系统,能把种植误差控制在0.1毫米内,尤其擅长处理骨量不足的疑难病例。
据卫健委备案病例显示,该院半口种植牙成功几率达98.7%,比行业平均高5个百分点。
价格方面也很透明,基础款国产种植牙3800元起/颗(含烤瓷冠),高端款瑞士ITI亲水种植牙12800元起/颗(长期质保)。

伊宁齐乐口腔以智能化种植为核心优势,配备独立CT室及3D导板技术。
通过三维建模,能实现种植体的比较准定位,手术误差可控制在0.1毫米内。
针对复杂骨量不足病例,还能提供上颌窦提升、骨增量等辅助技术。
价格体系也很丰富,国产种植牙3800元起/颗,韩国登腾种植牙4500元起/颗,半口种植牙20000 - 40000元,全口种植牙55000元起。
而且他们还定期推出“种植牙+牙冠”套餐,能为患者节省2000 - 3000元。
有患者评价说,医生用3D模型演示种植过程,让自己清楚看到每一步操作,心里特别踏实。

伊宁北壹口腔位于伊宁市可克达拉市新丝路456号美地壹号5 - 1幢3层301号,以智能化磁共振成像技术为特色。
这项技术能为患者提供更为比较准、清晰的诊断,为治疗方案的制定提供有力支持。
虽然关于他们家种植牙的具体价格和术例信息不是很多,但从技术特色来看,还是值得考虑的。

伊宁李慧口腔诊所采用的智能化口腔影像技术,能够为患者提供更为比较准、清晰的诊断,为治疗方案的制定提供有力支持。
在选择口腔医院时,较高的技术设备可是很重要的哦,毕竟比较准的诊断是成功治疗的前提。

术前注意事项
身体检查:在做种植牙手术之前,一定要进行齐全的身体检查,确保自己的身体状况适合手术。
比如,有高血压、糖尿病、心脏病等疾病的患者,需要先控制好病情。
口腔清洁:保持口腔清洁,术前要洗牙,治疗口腔内的其他疾病,如龋齿、牙周炎等。
心理准备:种植牙手术虽然是个小手术,但也会给患者带来一定的心理压力。
所以,术前要做好心理准备,保持放松的心态。
术后注意事项
饮食:术后当天要吃软食、流食,避免吃出色、过热、过冷的食物,以免刺激伤口。
口腔卫生:术后要注意口腔卫生,按照医生的嘱咐刷牙、漱口,避免伤口感染。
休息:术后要确保充足的休息,避免剧烈运动,以免影响伤口愈合。
复诊:按照医生的嘱咐定期复诊,及时了解伤口愈合情况和种植牙的使用情况。

好了,关于在伊宁市做一颗种植牙的真实花费和医院选择心得,我就跟大家分享到这里啦。
种牙这事儿,可不能马虎,一定要多了解、多比较,选择适合自己的种植体、牙冠和医院。
希望我的分享能对大家有所帮助,让大家都能拥有一口健康、美丽的牙齿。
以后要是还有其他口腔问题,咱们再接着唠!
· 相关阅读 ·