当年龄增长、牙周疾病或意外事故导致全口牙齿缺失时,选择适合自己的假牙方案成为重塑笑容与改善咀嚼功能的关键。佛山中诺口腔医院针对不同需求与预算的患者,提供了从经济实用型到高端功能型的全口假牙解决方案,价格范围覆盖2000元至20万元不等。
在全口假牙的选择上,患者主要面临三大类选择:传统活动义齿、吸附性义齿和种植牙。每种方案各有优势,适合不同口腔条件及生活需求的人群。佛山中诺口腔作为国内连锁口腔医疗机构,其价格体系透明,设备较高,医生团队经验充足,为患者提供了可靠的质量因素。

以下为佛山中诺口腔全口假牙主要类型及价格概览:
假牙类型价格区间主要特点适合人群全口树脂活动假牙2000元起经济实用,制作周期短预算有限,临时修复需求者全口纯钛活动义齿8000元起轻便舒适,生物相容性好追求舒适度与耐用性的患者满口吸附性义齿3万元起吸附力强,不易松动牙槽骨条件一般,追求稳定性的患者全口半固定种植牙5万-8万元起部分固定,性价比高希望平衡种植结果与预算的患者全口All-on-4种植牙8万-12万元起即刻负重,改善快追求较高的效率且长效解决方案的患者全口All-on-6种植牙9万-14万元起支撑更强,使用寿命长对咀嚼功能要求高的患者高端种植牙(瑞士/瑞典)12万-20万元起头部品质,长效耐用追求较佳结果且预算充足的患者表格说明:以上价格均为起步价,实际费用会根据患者口腔具体情况、所选材料品牌等因素有所浮动。

对于预算有限或牙槽骨条件不适合种植的患者,传统活动义齿是一种经济实用的选择。佛山中诺口腔提供的传统活动义齿种类多样,满足不同层次的需求。
全口树脂活动假牙是较为经济的选择,价格在2000元起。这类假牙采用树脂材料制作,优点是价格亲民,制作快速;缺点是长期使用可能存在磨损、染色等问题,使用寿命相对较短。

全口钴铬合金活动假牙(价格3000元起)和全口钛合金活动假牙(价格4000元起)在耐用性上有所提升。金属支架结构使得这些假牙更加坚固耐用,但重量相对较大,可能需要更长的适应期。
满口纯钛义齿(价格8000元起)是传统活动义齿中的高端选择。纯钛材料重量轻、生物相容性好,不易引起过敏反应,佩戴舒适度高,适合长期使用。
需要注意的是,传统活动义齿依靠基托与牙龈组织之间的大气压力固位,可能存在稳定性不足的问题,在咀嚼或说话时有可能移位或脱落。此外,长期佩戴可能导致牙槽骨萎缩,需要定期调整或更换。

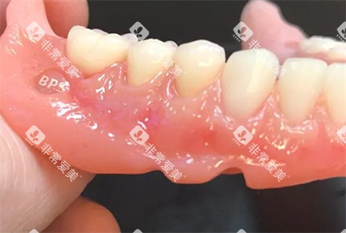
吸附性义齿是全口义齿技术的一项重要进步,它通过特殊的基托材料与口腔黏膜之间形成良好的吸附力,大大提高了义齿的稳定性。
佛山中诺口腔提供的吸附性义齿主要有三种:BPS吸附性义齿(价格3万元起)、DSA吸附性义齿(价格22000元起)和GS吸附式假牙(价格25000元起)。这些义齿采用精密的印模技术和个人化设计,能够更好地适应患者的口腔解剖结构。
与传统活动义齿相比,吸附性义齿具有显著优势:更强的固位力,在咀嚼和说话时不易移位;更好的舒适度,边缘封闭设计减少了对牙龈的压迫;更高的咀嚼效率,患者可以享用更多种类的食物。

吸附性义齿的成功较大程度上依赖于医生的技术和经验。佛山中诺口腔的医生团队掌握较高的BPS(生物功能性修复系统)技术,通过精细的口腔取模和个性化设计,确保义齿与患者口腔高度契合。
对于牙槽骨条件较差不适合种植,但又希望获得较好稳定性的患者,吸附性义齿是一个理想的折中选择。它避免了手术带来的风险和改善期,同时在功能性和美观度上都有出色表现。

全口种植牙是目前修复全口牙齿缺失的较较高技术,它通过在外科手术中将钛合金种植体植入牙槽骨,待骨结合后安装牙冠,实现牙齿功能的多方面改善。
佛山中诺口腔提供多种全口种植牙方案,满足不同患者的需求:
全口半固定种植牙(价格3万-6万元起)是入门级种植方案,适合预算有限但希望获得比活动义齿更好稳定性的患者。它采用相对较少的种植体(通常为4-6颗)支撑整排假牙,通过卡环或球帽等附件提供固位。
全口固定种植牙(价格5万-8万元起)采用更多的种植体(通常为8-12颗),为假牙提供更稳定的支持。这类种植牙的咀嚼效率接近真牙,使用寿命也更长。

All-on-4和All-on-6技术是近年来广受欢迎的全口种植方案。All-on-4技术通过4颗种植体支持整排牙齿,而All-on-6则使用6颗种植体,提供更强的支持力。这两种技术都能够在手术当天安装临时牙冠,实现“当天戴牙”的结果。
佛山中诺口腔的立得用即刻种植技术尤为引人注目。该技术结合了3D导板与手术导航系统,实现小创口比较准种植,患者手术当天即可佩戴临时牙冠进食,大大缩短了治疗周期。根据中诺口腔公布的数据,其立得用全口种植成功几率高达97.3%,术后3年存活率达到94.8%。
种植牙的较大优势在于能够防止牙槽骨萎缩,保持面部结构,同时提供与真牙相媲美的咀嚼功能。虽然初期投资较高,但考虑到其长期使用寿命(可达20-30年甚至更长),从长远来看性价比很高。

在全口假牙的选择上,种植体和牙冠的品牌与材料是影响价格和结果的重要因素。佛山中诺口腔提供多种国内外出名品牌,满足不同患者的需求和预算。
种植体品牌方面,韩系种植体(如登腾、奥齿泰)价格相对亲民,全口价格在5万-7万元左右,是性价比之选;欧美高端品牌(如瑞士ITI、瑞典诺贝尔)性能优异,生物相容性更好,但价格也更高,全口价格可达12万-20万元。
牙冠材料的选择同样重要。国产二氧化锆全瓷牙价格在1200-2000元/颗左右,性价比高;德国威兰德全瓷牙(约2800元/颗)透光性好,美观度高;而德国泽康全瓷牙(3300-3600元/颗)则强度更高,适合磨牙区修复。
不同材料的假牙使用寿命也有差异。据网络参考数据,国产爱尔创全瓷牙可使用约10年,德国威兰德全瓷牙约15年,而德国泽康和美国3M拉瓦全瓷牙可使用20年以上。
佛山中诺口腔的医师建议,选择假牙不应仅仅考虑价格,而应综合考虑年龄、口腔条件、健康状况、预期结果和经济实力等多方面因素。例如,对于年轻、身体条件好的患者,可能更倾向于选择长效的种植牙方案;而对于年长、有系统性疾病的患者,吸附性义齿可能是更稳妥的选择。

选择佛山中诺口腔进行全口假牙修复具有多项优势:
设备较高:佛山中诺口腔各分院均配备CBCT三维影像机、3D导板及手术导航系统,能够实现比较准的口腔检查与手术规划,避免不必要的成本增加。
医生团队可靠:中诺口腔的种植团队主攻疑难病例,医生必须完成大量实例手术(如立得用技术需完成200例相关手术才能上岗),确保手术质量。
售后因素完善:中诺口腔提供种植牙5年起质保,部分高端种植牙甚至提供长期质保。3年内如发生植体脱落,医院约定免费重做并给予一定赔偿。
价格透明:中诺口腔实行统一收费标准,所有费用明码标价,不会中途加收检查费、方案设计费等隐藏费用。

对于准备进行全口假牙修复的患者,以下是一些实用建议:
1.1.多方面检查:在决定进行修复前,务必进行多方面的口腔检查,包括拍X光片或CBCT扫描,评估牙槽骨状况和口腔健康状况。
2.2.充分沟通:与医生详细沟通您的期望、生活习惯和预算,以便医生推荐较适合您的方案。
3.3.了解细节:询问包括假牙材料、品牌、手术流程、改善时间、后续维护等所有细节,确保自己对治疗有多方面了解。
4.4.考虑促销活动:佛山中诺口腔会定期推出优惠活动,如种植牙免费拍片检查、矫正送保持器等,可适时关注以便节省部分费用。
全口牙齿缺失不必成为享受美好生活的障碍。佛山中诺口腔提供的多种全口假牙方案,能够满足不同情况患者的需求。从经济的活动义齿到高端的种植牙,每种选择都有其独特优势。重要的是在可靠医生指导下,根据个人口腔条件、功能需求和经济实力,做出较合适的决定。
重获自信笑容和咀嚼功能是一笔值得的投资。无论选择哪种方案,正规的口腔医疗机构、经验充足的医生团队以及科学的术后维护都是确保修复结果长久满意的关键因素。"
· 相关阅读 ·