首页
牙齿综合
种植牙
牙齿矫正
烤瓷/全瓷牙
儿童牙齿
老年牙齿
您的位置:>
首页
> 种植牙
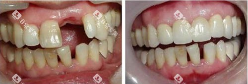
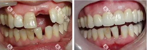
种植牙
广州市第一人民医院口腔科2025收费标准:种植牙5000元起、牙齿矫正9980元起、镶牙1200元起
广州市第一人民医院口腔科价格如下:普通挂号费20元起,口腔检查费50元起,洁牙(超声波洁治)200元起,补牙(树脂充填)300元起,根管治疗800元起,牙齿矫正9950元起,种植牙5000元起,烤瓷牙1200元起,全瓷牙3000元起,瓷贴面3000元起,儿童口腔检查50元起,儿童洁牙150元起,儿童窝沟封闭100元起,X光片50元起,CBCT(口腔三维CT)300元起,牙齿美白656 ...
山东省立口腔医院2025价格表:种植牙4980元起、牙齿矫正10000元起、全瓷牙1300元起
山东省立口腔医院价格表如下:种植牙(单颗国产)4980元起,韩国进口种植牙4980元起,瑞士 德国高端种植牙8800元起,牙齿矫正(金属托槽青少年)6800元起,隐形矫正18000元起,活动假牙(树脂基托单颗)600元起,根管治疗(前牙)600元起,树脂补牙(小面积)170元起,超声波洗牙89元起,牙周刮治(全口)1500元起,拔牙牙槽骨修整术138元起,金属烤瓷牙套 ...
光华口腔医院挂号预约_光华口腔医院挂号攻略诀窍,支持电话预约/在线平台/官网/到院挂号!
光华口腔医院挂号预约方式多样,包括电话预约、在线平台、官网预约及到院挂号。电话预约服务及通过关注“中山大学附属口腔医院”公众号或下载APP进行在线预约都很受欢迎!医院还设有现场预约服务,服务时间为周一至周日7:30-17:30。建议提前了解号源更新时间,根据个人情况选择合适的挂号方式。光华口腔医院,作为口腔医疗领域的佼佼者,以其娴熟的技术、 ...
中山大学光华口腔医院地铁站哪个出口?光华口腔医院地址在哪里?地址+到院路线一览!
中山大学光华口腔医院(总院)位于广州市越秀区陵园西路56号。乘坐地铁1号线至烈士陵园站,从D出口出站后步行约700米即可到达。此外,医院还设有珠江新城门诊部和东院,分别位于广州市天河区华夏路49号津滨腾越大厦2楼和广州市天河区东圃大马路3-7号,可乘坐地铁1号线、3号线或4号线至相应站点后步行前往。具体路线可根据个人出发地点选择合适的交通工具。 ...
重庆市人民医院口腔科预约挂号怎么挂?电话预约/网上挂号/官网预约/到院预约挂号都可以!
重庆市人民医院口腔科预约挂号全攻略!在现代医疗体系中,预约挂号已成为患者就医的常规流程,它不仅能有效减少患者排队等待的时间,还能让医院更好地安排医疗资源,提高就诊效率。重庆市人民医院作为一所集医疗、教学、科研、预防、保健为一体的综合性医院,其口腔科更是享有良好的口碑。为了方便患者预约挂号,重庆市人民医院提供了多种便捷的预约方式, ...
牙科在线问口腔问题免费,24小时在线解答牙疼/种植牙/补牙/镶牙/牙齿矫正等问题!
牙科在线问口腔问题免费,24小时在线解答——您的口腔健康守护者!在当今快节奏的生活中,口腔健康问题日益受到人们的关注。牙疼、种植牙、补牙、镶牙、牙齿矫正……这些看似寻常的口腔问题,实则关乎着我们的日常生活质量和整体健康。为了帮助大家更好地了解并解决这些口腔困扰,现在有许多正规的牙科在线平台提供24小时免费询问服务,成为您随时随地的口 ...
即墨第三人民医院牙科电话号码_营业上班时间_地址位置_预约挂号_收费价格表公布!
即墨第三人民医院牙科作为当地一所重要的牙科医疗机构,致力于为患者提供齐全、优质的牙科服务。本文将详细介绍即墨第三人民医院牙科的电话号码、营业上班时间、地址位置、预约挂号方式以及收费价格表,帮助广大患者更好地了解该科室的相关信息。一、即墨第三人民医院牙科电话号码即墨第三人民医院牙科的电话号码为:0532-88512156。患者可以通过拨打此电 ...
大理金莱雅口腔价格表:补牙200元起,种植牙3280元起,全瓷牙900元起
大理金莱雅口腔的价格标准根据不同的治疗项目和材料选择有所不同。以下是大理金莱雅口腔部分项目的价格明细,这些价格可能会因个人情况、治疗方案及促销活动而有所变动:一、洁牙与美白超声波洁牙80元起喷砂洁牙220元起(另有说法为79元左右)牙齿美白(冷光美白)399元起皓齿美白980元起OKLRE牙齿美白388元左右二、补牙与修复树脂补牙(含进口树脂补牙)2 ...
大理拜博口腔地址电话,0872-88166**可预约挂号+获取价格等
以下是大理拜博口腔的地址、电话以及医院介绍:一、地址大理拜博口腔的地址位于云南省大理白族自治州大理市下关关平路29号。二、电话大理拜博口腔的客服电话为0872-88166**。该电话号码已经过真实性核实,对应的真实实体为拜博口腔修复种植中心,即大理拜博口腔。三、预约方式大理拜博口腔提供了多种预约方式,以满足不同患者的需求。以下是具体的预约方式 ...
大理美伢口腔联系电话:0872-**120,下关店/宾川店预约方式及地址介绍
以下是大理美伢口腔的联系电话、预约挂号方式以及医院介绍:一、联系电话大理美伢口腔共有两家连锁店,分别是下关店和宾川店,两家门店共用一个联系电话,但具体号码在公开信息中被部分隐藏,以“087***120”形式呈现。为保护隐私和确保信息的正确性,建议直接访问大理美伢口腔的网站或前往其门店获取完整的联系电话。地址:大理美伢口腔(下关店)地址: ...
4629条
上一页
1
..
329
330
331
332
333
334
335
336
337
..
463
下一页