烤瓷牙崩了一块可以修补吗?“上周啃排骨,‘咔’一声——烤瓷牙崩了半块!现在说话漏风,吃火锅都怕塞牙缝,这牙还能救吗?”如果你也经历过这种“社死现场”,先别急着慌!据卫健委2024年口腔健康白皮书显示,我国35-45岁人群中,每3人就有1人做过烤瓷修复,而其中23%都遭遇过崩瓷问题。今天咱们就掰开揉碎,把崩瓷的“锅”甩给谁,修补方案怎么选,一次性说个明白!

1. 材料质量不过关:便宜没好货,贪小便宜吃大亏!
“当时选了家小诊所,800块做的烤瓷牙,结果用了半年就崩瓷!”这是网友小李的真实吐槽。据业内人士透露,市面上部分低价烤瓷牙为降低成本,采用劣质粘合剂或薄瓷层,导致牙体内部应力集中。就像盖房子偷工减料,楼板薄了能不塌吗?
避坑指南:选烤瓷牙别只看价格!正规诊所的钴铬合金烤瓷牙(800-1000元/颗)、贵金属烤瓷牙(1500-2500元/颗)或全瓷牙(3000-3500元/颗),虽贵但更耐用。
2. 医生技术“翻车”:牙体磨多了,瓷层薄如纸!
“医生说我咬合紧,结果磨了太多牙体,现在瓷层薄得像鸡蛋壳!”28岁的张女士后悔不已。牙体预备时若磨除过多健康牙组织,瓷层厚度不足,咬硬物时极易崩瓷。就像手机贴膜,膜太薄了,摔一下肯定碎!
避坑指南:选医生看资历!比如辉煌口腔进贤分院的徐鹏医生,-成员,擅长全瓷修复,这类有认证的医生更靠谱。

3. 日常习惯“作死”:咬瓶盖、啃冰块,牙不是铁打的!
“我习惯用牙开啤酒瓶,结果烤瓷牙崩了!”32岁的王先生自嘲“牙硬心软”。烤瓷牙虽比真牙硬,但长期咬硬物、冷热交替刺激,会导致瓷层微裂纹扩展。就像玻璃杯,总摔总磕,早晚得碎!
避坑指南:烤瓷牙不是“无所不能工具”!避免咬核桃、螃蟹壳,少吃冰镇西瓜,用牙线代替牙签,温柔点对它!
4. 外伤“突袭”:打架、车祸,牙先遭殃!
“打篮球被撞到嘴,烤瓷牙当场崩了一块!”大学生小陈的经历让人心疼。口腔受外力撞击时,瓷层与金属基底易分离,就像瓷碗掉地上,边角肯定崩!
避坑指南:运动时戴护齿套,打架别动牙!万一受伤,立刻找医生检查,别拖!
5. 口腔卫生“躺平”:龋齿、牙周病,牙根都烂了!
“我三年没洗牙,结果烤瓷牙边缘发黑,牙龈红肿!”45岁的刘阿姨悔不当初。口腔卫生差会导致继发龋,细菌侵蚀牙体,烤瓷牙失去支撑,自然崩瓷。就像房子地基烂了,墙能不倒吗?
避坑指南:每天刷2次牙,用牙缝刷清洁死角,每年洗1-2次牙!菌斑控制(PMTC)护理术能深度清洁,预防龋齿,很多高端诊所都有这项服务。

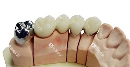
方案1:局部修补——小缺口,省钱省事!
“崩了一小块,不影响吃饭,能补吗?”当然可以!医生会用树脂或玻璃材料材料填补缺损,适合1-2mm的小缺口。就像衣服破了个小洞,缝两针就行!费用约200-500元,1小时搞定。
方案2:瓷层抛光——划痕、毛刺,一抛即净!
“烤瓷牙表面有细纹,看着难受!”别慌!医生用专科抛光器械打磨,去除浅表损伤,重获光滑。就像手机屏幕有划痕,抛光膏一抹就亮!费用约100-300元,10分钟完成。
方案3:重新粘接——整块崩落,还能抢救!
“烤瓷牙整个掉下来了,能粘回去吗?”只要基牙(牙根)健康,医生会清洁消毒后,用牙科专用粘接剂重新固定。就像瓷碗掉盖了,用胶水粘回去!费用约500-800元,需检查基牙是否龋坏。
方案4:换新牙冠——崩瓷严峻,必须重做!
“崩了一半,牙龈还发炎,怎么办?”这时候只能拆旧换新!医生会去除残留牙冠,治疗牙周病后,重新取模制作全瓷或金属烤瓷牙。就像房子塌了半边,得重建!费用根据材料不同,全瓷牙约3000-3500元/颗,钴铬合金约800-1000元/颗。

1. 看资质:正规诊所+持证医生!
别被“低价诱惑”忽悠!选有《医疗机构执业许可证》的诊所,医生要有《医师资格证》和《医师执业证》。比如徐鹏医生所在的辉煌口腔,是卫健委备案的正规机构,口碑较好。
2. 看设备:智能化口扫,精细又有效!
传统取模又吐又难受?现在高端诊所都用智能化口扫仪,3分钟扫描口腔,3D打印模型,误差小于0.02mm!就像拍照比画素描更准,修复结果更贴合!
3. 看服务:术后跟踪,省心又安心!
好的诊所会提供术后1年免费检查,定期提醒你洗牙、复查。就像买车送保养,用着更放心!

四、互动时间:你的牙崩过吗?
“烤瓷牙崩瓷后,你是选择修补还是换新?"有没有因为崩瓷闹过笑话?”欢迎在评论区分享你的故事!如果你正为崩瓷烦恼,不妨私信我,帮你推荐靠谱医生,少走弯路!毕竟,牙好,笑才甜,生活才更“有面儿”!
· 相关阅读 ·