您的位置:> 首页 > 老年牙齿 > 活动性义齿和吸附性义齿的区别在哪?医生拆解:稳固性差 30 倍,选错吃饭总掉牙

活动性义齿和吸附性义齿的区别在哪?医生拆解:稳固性差 30 倍,选错吃饭总掉牙

非合作机构 机构电话: 作者:   2025-09-30 14:19:41

 据统计,我国60岁以上老人缺牙修复率不足40%,而选错义齿类型导致吃饭掉牙的比例竟高达35%!今天咱们就掰开揉碎,把活动性义齿和吸附性义齿的“稳固性战争”讲个明白。

活动义齿动画图

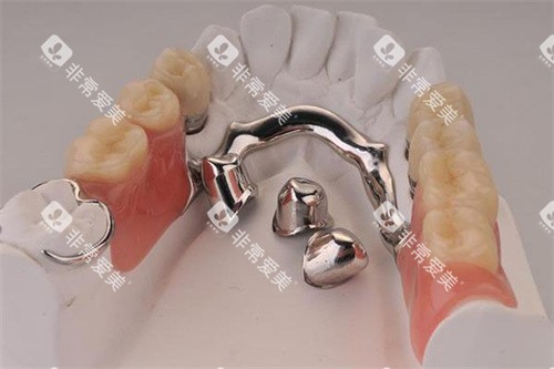
一、固位方式:卡环VS吸附力,差了30倍的“抓地力”

“您这活动义齿就像骑共享单车,得用卡环‘锁’在邻牙上;吸附性义齿更像特斯拉,靠负压‘吸’在牙床上。”华 西口腔博士王浩帆举着模型比划。活动性义齿通过金属卡环勾住健康牙,基托覆盖牙龈提供支撑,但卡环稍松就容易“跳闸”;吸附性义齿则用硅胶或树脂基托紧贴牙槽嵴,通过边缘封闭形成负压,稳固性是前者的30倍不止。

贵阳的李阿姨深有体会:“以前戴活动牙,吃个包子都得用手扶着,现在换吸附性义齿,啃苹果都不带晃的!”她提到的“不晃”,正是吸附性义齿的核心优势——全口义齿通过精密印模技术,让基托与牙床贴合度达98%以上,说话、大笑都不怕“露馅”。

吸附性义齿模型图片展示

二、适应症:缺几颗牙?牙床条件决定“入场券”

“活动性义齿是‘万金油’,从缺1颗到全口无牙都能用;吸附性义齿更像‘VIP通道’,得挑牙床条件好的。”浙江大学医学校附属第二医院史伟萍主治医师翻着病例解释。活动性义齿适用于外伤、龋齿导致的单颗或多颗缺失,甚至牙槽骨轻度吸收也能定制;而吸附性义齿主要针对全口无牙或少数牙缺失,且要求牙槽嵴高度≥5mm、黏膜弹性好——简单说,牙床“地基”得够结实。

65岁的刘大爷就是个典型病例:“我牙床缩得严峻,活动牙戴不住,吸附性的又吸不牢。”然后医生给他做了改良版吸附性义齿,在基托边缘加了弹性衬垫,才解决了“戴不稳”的难题。

局部维他灵活动义齿

三、价格梯度:从“经济舱”到“头等舱”,钱包说了算

“活动性义齿就像买手机,500块的能用,5000块的更耐用;吸附性义齿更像买车,5000块的是代步车,2万块的是特斯拉。”贵阳无挂钩活动假牙医师杨通梅医生打了个形象的比方。

活动性义齿价格:

树脂基托+普通牙:500-1000元/颗(适合预算有限的老人)

钛合金支架+树脂牙:800-1500元/颗(更轻便,不易变形)

纯钛支架+烤瓷牙:1500-3000元/颗(仿真度高,但需定制)

吸附性义齿价格:

树脂基托+普通牙:5000-10000元(全口,适合牙床条件好的)

钴铬合金支架+树脂牙:10000-15000元(稳定性提升30%)

纯钛支架+二氧化锆牙:15000-20000元(轻便、美观,但需2-4周定制)

“一线城市比二三线贵15%-25%,比如北京全口吸附性义齿要2万,贵阳1.5万就能拿下。”杨医生提醒,价格差异主要在材料和工艺上,别被“低价诱惑”坑了质量。

吸附性假牙图

四、舒适度:异物感VS“真牙感”,舌头较先知道

“活动性义齿戴久了,舌头总像被绳子捆着;吸附性的就像没戴,说话都利索。”南京的赵奶奶摸着新做的吸附性义齿感慨。活动性义齿的金属卡环和厚基托容易磨破牙龈,初期异物感强,约30%患者需要1-2个月适应;吸附性义齿基托薄至1.5mm,材质柔软,70%患者1周内就能适应,且流口水、口臭问题明显减少。

不过,吸附性义齿也有“软肋”。贵阳的胡兴权医生指出:“基托变形、黏膜损伤是常见问题,尤其是牙床萎缩严峻的老人,可能需要每年调整基托。”而活动性义齿的卡环松动、食物嵌塞也让人头疼——选哪种,得看您更忍不了“磨”还是“松”。

活动义齿成品

五、清洁维护:泡水里VS刷干净,细节决定寿命

“活动性义齿得像刷真牙一样认真,否则牙菌斑比真牙还多!”广州医学大学曾海燕医生强调。活动性义齿需每天取下清洁,用软毛刷刷洗基托和假牙,每周用义齿清洁片浸泡;吸附性义齿虽不用取下,但饭后需用冲牙器清理基托边缘,否则食物残渣堆积会导致牙床发炎。

“我奶奶总嫌麻烦,结果吸附性义齿戴了3年就变形了。”网友“小橘子”的吐槽道出了真相:无论哪种义齿,清洁不到位都会缩短使用寿命。活动性义齿平均用5-8年,吸附性义齿用3-5年,定期复查调整才是“长寿秘诀”。

牙齿义齿吸附性义齿示意图

结尾:您选对“吃饭搭子”了吗?

“医生,我到底该选哪种?”这是诊室里更高频的问题。其实没有“较好”,只有“适合”——牙床条件好、预算充足的选吸附性义齿,吃嘛嘛香;缺牙多、预算有限的选活动性义齿,经济实惠。您家老人的义齿用着顺手吗?有没有吃饭掉牙的尴尬事?评论区聊聊,咱们一起避坑!


· 相关阅读 ·