大牙松动了到底拔还是不拔?"哎呦,这大牙咋突然开始晃悠了?"王阿姨啃着苹果突然捂住嘴,苹果渣混着血丝从指缝漏出来。上周刚见她吃嘛嘛香,这会儿连稀饭都得用勺子慢慢舀——这场景是不是像极了你家那位?据卫健委新数据显示,我国35岁以上人群中,每3个人就有1个遭遇过大牙松动危机,可真正知道该咋处理的,连三成都不到!

"您这牙周袋都6毫米深了!"北京口腔医院陈主管举着牙周探针直摇头。上周接诊的李先生就是个典型:42岁,平时抽烟喝酒样样不落,近期啃排骨时突然感觉大牙"打飘"。检查发现,他下排两颗磨牙的牙槽骨已经吸收了三分之二,罪魁祸首正是潜伏了8年的牙周炎。
元凶1:牙周病的"温柔一刀"
牙菌斑就像狗皮膏药,每天刷牙漏掉0.1毫米,3年就能堆出1颗米粒大的结石。这些结石会像小刀似的慢慢刮掉牙槽骨,等发现牙齿松动时,往往已经到了中晚期。网友"老张的牙"在论坛吐槽:"刚开始以为上火,结果拖了半年,现在三颗大牙全得拔!"
元凶2:外伤的"突然袭击"
上周急诊送来个骑电动车摔沟里的姑娘,门牙倒是没事,后槽牙却松得能当拨浪鼓玩。这种急性损伤要及时固定,24小时内冷敷能减少60%的肿胀。但要是像老刘那样,十年前打球被撞的牙现在才开始晃,那就得查查是不是牙根折断了。

元凶3:根尖炎的"暗度陈仓"
"医生,我这牙怎么自己会疼?"张女士捂着半边脸冲进诊室。X光片一照,好家伙!根尖囊肿都鼓成小乒乓球了。这种由龋齿引发的感染,就像在牙根底下埋了颗定时炸弹,不把脓排干净,牙齿永远站不稳。
元凶4:咬合的"慢性谋杀"
夜磨牙的人要注意了!小王连续三年每天凌晨三点"咯吱咯吱"磨牙,现在上排大牙集体外翻。这种长期小创口伤,就像用砂纸每天磨掉0.01毫米的牙釉质,等发现时往往已经伤筋动骨。
元凶5:全身病的"连环暴击"
糖尿病患者的牙周病发病率是常人的3倍!58岁的赵大爷血糖控制不好,去年种的两颗牙今年就松了。更别说绝经后女性,雌激素断崖式下跌,牙槽骨就像被抽走了地基的房子。

"医生,我这牙到底能不能保住?"上周在北 大口腔医院,这样的提问每天要重复上百次。主治医师李医生掏出个小模型:"看这三度标准,比看面相还准!"
标准1:松动程度
Ⅰ度松动(前后晃<1mm):就像刚学走路的娃娃,走两步就稳了。这种通过系统牙周治疗,80%能保住。Ⅱ度松动(前后左右都晃):好比老房子榫头松了,得打钢钉加固。Ⅲ度松动(上下都能晃):这时候还硬撑,就像在危楼上跳舞,摔下来是迟早的事。
标准2:病因诊断
牙周炎引起的松动,就像树根被虫蛀了,得先杀虫再补营养。根尖炎导致的,好比树根泡在污水里,必须把脏水排干净。但要是像老张那样,牙根从中间劈成两半,就像筷子断了,再粘也使不上劲。
标准3:全身状况
65岁的刘奶奶想拔牙,结果一查凝血功能差,医生死活不敢动手。孕妇更要命,孕期激素变化会让牙周病加重3倍,但前三个月拔牙又容易流产。这时候就得像走钢丝似的,在保牙和保命之间找平衡。

"现在保住一颗牙,相当于省下种牙的3万块!"华 西口腔的王医师边操作显微镜边说。上周他刚用"牙周再生术"救回一颗Ⅲ度松动的牙,这在十年前根本不敢想。
绝招1:洗牙+刮治=给牙齿做大扫除
超声波洁牙就像给牙齿洗泡泡浴,能把牙结石震成碎渣。但深层的牙菌斑得用刮治器手动清除,这个过程会有点酸爽,不过网友"牙好胃口好"说:"就像给牙齿做了个SPA,做完吃东西都香了!"
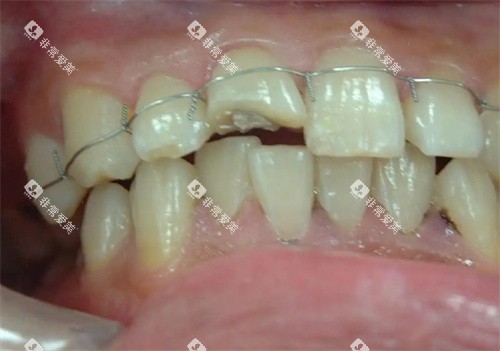
绝招2:松牙固定=给牙齿打绷带
树脂夹板固定就像给摇晃的栏杆加钢筋,能把松动牙和稳固牙绑成"命运共同体"。上周给程序员小陈做的纤维带固定,现在他啃小龙虾都不带怕的。不过要注意,固定期间得吃软饭,别学他偷吃甘蔗结果绷带崩开。

绝招3:根管治疗=给牙齿做心脏手术
当炎症攻到牙根时,就得像疏通下水道似的做根管治疗。95后姑娘小林做完根管后发朋友圈:"原来牙齿里藏着这么多脏东西!现在咬苹果终于不酸了!"
绝招4:植骨术=给牙槽骨输血
对于骨吸收严峻的患者,医生会从髂骨取点骨粉填进去。这个过程就像给危楼打地基,65岁的陈大爷植骨后,原本要拔的牙现在又能啃排骨了。不过这个手术得全麻,改善期要像坐月子似的精心调养。

"看个牙咋比买手机还贵?"上周在诊室,这个灵魂拷问让空气凝固了3秒。其实保牙就像装修房子,简单修补和改造价格差十倍!
基础款(68元起)
超声波洗牙就像给汽车打蜡,68元能清除表面污垢。但要是牙结石长到牙龈底下,就得加19元做龈下刮治,这就像给汽车做底盘清洗。
进阶款(680元起)
根管治疗得用显微镜找根管口,680元只是起步价。要是遇到细小根管,还得用热牙胶充填,这就像给下水道做高压注浆,价格直接翻倍。
豪华款(2000元起)
植骨术得用生物活性材料,2000元只是骨粉钱。要是骨量缺失太多,还得从腓骨取骨,这就像拆东墙补西墙,手术费直接飙到5万。
理想款(3万起)
当牙齿实在保不住时,种植牙就成了然后选择。韩国种植体3万起步,瑞士的得5万,这就像买手机,国产机和进口机的差距。

"要是早听医生的,现在也不至于..."上周,58岁的赵大爷摸着空牙槽直叹气。他三年前Ⅲ度松动时死活不拔,结果炎症扩散引发颌骨骨髓炎,然后不得不做大手术。
禁忌1:硬扛不治
Ⅱ度松动还啃核桃,就像在危楼上蹦迪。网友"牙疼不是病"说:"我拖了半年,现在三颗牙全得拔,种牙花了9万!"
禁忌2:乱吃偏方
用花椒水漱口、含白酒杀菌,这些土方法会让炎症更严峻。上周急诊送来个用醋漱口的阿姨,结果把牙釉质都腐蚀了。
禁忌3:忽视全身病
糖尿病患者拔牙前不测血糖,就像在油锅里倒水。65岁的刘奶奶就是例子,拔牙后出血不止,在医院住了半个月。

"现在知道该怎么做了吧?"陈主管合上病历本笑道。记住,牙齿松动不是末日,但拖延治疗肯定是!看完这篇文章,你是打算继续让牙齿"随风飘摇",还是赶紧预约个牙科检查?评论区说说你的选择,点赞过百下期揭秘"种牙那些不能说的秘密"!
· 相关阅读 ·